Często zastanawiamy się, co tak naprawdę widzi dentysta podczas rutynowej wizyty kontrolnej. Czy to tylko kwestia próchnicy i kamienia nazębnego? Jako stomatolog z wieloletnim doświadczeniem mogę śmiało powiedzieć, że jama ustna to prawdziwa mapa zdrowia całego organizmu. To, co dzieje się w Twoich ustach, może zdradzić znacznie więcej niż tylko problemy z zębami od nawyków żywieniowych, przez poziom stresu, aż po wczesne objawy poważnych chorób ogólnoustrojowych. W tym artykule zabieram Cię w podróż po tym, co ja, jako dentysta, jestem w stanie odczytać z Twojego uśmiechu.
Dentysta widzi więcej, niż myślisz Twoje zęby i dziąsła to mapa zdrowia całego organizmu.
- Dentysta może zauważyć wczesne objawy chorób ogólnoustrojowych, takich jak cukrzyca, anemia czy refluks żołądkowy.
- Stan jamy ustnej zdradza nawyki żywieniowe, higieniczne oraz wpływ stresu, np. poprzez bruksizm czy erozję szkliwa.
- Poza próchnicą, ocenie podlega stan dziąseł, błon śluzowych i języka, co pozwala wykryć infekcje, stany zapalne, a nawet zmiany przednowotworowe.
- Nowoczesne narzędzia, takie jak kamera wewnątrzustna i zdjęcia RTG, ujawniają problemy niewidoczne gołym okiem, np. torbiele czy zęby zatrzymane.
- Szczegółowy wywiad z pacjentem jest kluczowy do postawienia trafnej diagnozy i zrozumienia szerszego kontekstu zdrowotnego.
Pierwsze spojrzenie: Co zdradza Twój uśmiech jeszcze zanim usiądziesz na fotelu?
Zanim jeszcze pacjent usiądzie na fotelu, ja już zbieram pierwsze, cenne informacje. Obserwuję ogólną postawę, mimikę, a nawet sposób, w jaki witasz się ze mną. Czasami już na tym etapie mogę zauważyć pewne napięcia w okolicy żuchwy, co może sugerować bruksizm, czyli zgrzytanie zębami. Zwracam uwagę na ogólny stan higieny czy uśmiech jest otwarty, czy może pacjent unika pokazywania zębów. To wszystko składa się na wstępny obraz, który pomaga mi lepiej zrozumieć potrzeby i ewentualne obawy osoby, która do mnie przychodzi.
Lustereczko, powiedz przecie... czyli przegląd zębów krok po kroku
Kiedy już pacjent wygodnie usiądzie, zaczyna się właściwy przegląd. Moje oczy skanują każdy ząb, szukając nawet najmniejszych oznak problemów. Oczywiście, próchnica jest na pierwszym miejscu szukam ubytków, przebarwień, które mogą świadczyć o początkowej demineralizacji szkliwa. Ale to nie wszystko. Sprawdzam również, czy nie ma pęknięć szkliwa, które mogą być wynikiem urazów lub nadmiernego obciążenia zębów. Oceniam stopień starcia zębów, co często jest wskazówką do problemów ze zgryzem lub bruksizmu. Przyglądam się też istniejącym wypełnieniom i koronom, aby upewnić się, że są szczelne i prawidłowo funkcjonują.
Kamera wewnątrzustna: Zobacz na ekranie to, co widzi Twój lekarz
W mojej praktyce często korzystam z kamery wewnątrzustnej. To fantastyczne narzędzie, które pozwala mi nie tylko dokładniej zbadać jamę ustną, ale przede wszystkim pokazać pacjentowi na monitorze to, co ja widzę. Drobne pęknięcia, początkowe zmiany próchnicowe czy nieszczelne wypełnienia, które gołym okiem są trudne do zauważenia, stają się doskonale widoczne na dużym ekranie. Dzięki temu pacjent lepiej rozumie swój stan zdrowia i jest bardziej zaangażowany w proces leczenia. To buduje zaufanie i pozwala na świadome podejmowanie decyzji.

Twoja historia zdrowia zapisana na zębach i dziąsłach
Próchnica nie tylko wina cukru. Jakie inne czynniki widzi stomatolog?
Próchnica to nie tylko efekt nadmiernego spożycia cukru, choć oczywiście jest to jeden z głównych winowajców. Jako dentysta, widzę szereg innych czynników, które przyczyniają się do jej rozwoju. Niewłaściwa higiena, czyli nieregularne lub nieskuteczne szczotkowanie i nitkowanie, to podstawa. Ale równie ważna jest suchość w ustach (kserostomia), która może być spowodowana lekami, chorobami czy stresem. Brak śliny, która naturalnie neutralizuje kwasy i remineralizuje szkliwo, drastycznie zwiększa ryzyko próchnicy. Zwracam też uwagę na dietę częste podjadanie, nawet zdrowych przekąsek, ale o kwaśnym pH, może prowadzić do demineralizacji szkliwa.
Kamień i osad: Mapa Twoich codziennych nawyków higienicznych
Obecność kamienia nazębnego i osadu to dla mnie jak otwarta księga o nawykach higienicznych pacjenta. Widzę, które obszary są pomijane podczas szczotkowania często są to wewnętrzne powierzchnie dolnych zębów siecznych czy okolice zębów trzonowych. Mogę ocenić, czy pacjent używa zbyt dużej siły, co objawia się recesjami dziąsłowymi i ubytkami abrazyjnymi przy szyjkach zębów. Brak nici dentystycznej czy irygatora również pozostawia swoje ślady w postaci nagromadzonego osadu międzyzębowego. To wszystko pozwala mi doradzić, jak poprawić technikę szczotkowania i dobrać odpowiednie narzędzia do higieny.
Erozja szkliwa: Cichy ślad po Twoich ulubionych napojach i przekąskach
Erozja szkliwa to utrata twardych tkanek zęba pod wpływem kwasów, niezwiązana z działaniem bakterii. Widzę ją często u pacjentów, którzy regularnie piją napoje gazowane, soki owocowe, napoje energetyczne czy wino. Kwaśne produkty spożywcze, takie jak cytrusy, również mogą przyczyniać się do erozji. Co ciekawe, erozja może być także sygnałem refluksu żołądkowego, gdzie kwas żołądkowy cofa się do jamy ustnej. Charakterystyczne, gładkie, błyszczące ubytki, często na powierzchniach podniebiennych zębów, są dla mnie jasnym sygnałem do dalszej diagnostyki i rozmowy z pacjentem o jego diecie i ewentualnych problemach zdrowotnych.
Stan dziąseł: Barometr zdrowia i pierwsza linia obrony
Dziąsła to niezwykle ważny element jamy ustnej i dla mnie są barometrem ogólnego zdrowia. Oceniam ich kolor (zdrowe są różowe, a zaczerwienienie to sygnał zapalenia), obrzęk oraz tendencję do krwawienia podczas delikatnego sondowania. Krwawiące dziąsła to zawsze sygnał alarmowy najczęściej świadczą o zapaleniu dziąseł (gingivitis), ale mogą też wskazywać na poważniejsze choroby przyzębia (paradontozę), które prowadzą do utraty kości i w konsekwencji zębów. Stan dziąseł może również odzwierciedlać niedobory witamin, zmiany hormonalne czy choroby ogólnoustrojowe.

Choroby ogólnoustrojowe, które dentysta może zauważyć jako pierwszy
Cukrzyca: Czy zapach z ust i suchość mogą być sygnałem alarmowym?
Tak, zdecydowanie! Jako stomatolog, często jestem pierwszym specjalistą, który zauważa objawy sugerujące niezdiagnozowaną cukrzycę. Jednym z najbardziej charakterystycznych sygnałów jest suchość w ustach (kserostomia), spowodowana zmniejszoną produkcją śliny. Pacjenci często skarżą się na pragnienie i trudności w mówieniu. Innym objawem jest specyficzny zapach z ust, przypominający aceton, wynikający z zaburzeń metabolicznych. Ponadto, u osób z cukrzycą często obserwuję trudności w gojeniu się ran w jamie ustnej oraz nasilone problemy z dziąsłami częstsze i bardziej agresywne zapalenia, a także szybki rozwój paradontozy. To wszystko skłania mnie do zasugerowania pacjentowi wizyty u lekarza rodzinnego w celu wykonania badań.
Anemia i niedobory witamin: Co mówi kolor Twoich dziąseł i języka?
Kolor dziąseł i błon śluzowych to dla mnie ważna wskazówka diagnostyczna. Blade dziąsła i błony śluzowe mogą sugerować anemię, czyli niedobór czerwonych krwinek lub hemoglobiny. Z kolei niedobory witamin, zwłaszcza z grupy B i witaminy C, również manifestują się w jamie ustnej. Na przykład, zapalenie kącików ust (zajady) często wiąże się z niedoborem witamin z grupy B, a krwawiące dziąsła mogą być objawem niedoboru witaminy C. Obserwuję także zmiany na języku jego kolor, fakturę, obecność nalotu czy pęknięć, które również mogą wskazywać na awitaminozy lub inne problemy zdrowotne.
Refluks żołądkowy: Jak żołądek niszczy zęby od środka?
Refluks żołądkowo-przełykowy to schorzenie, w którym kwas żołądkowy cofa się do przełyku, a czasem nawet do jamy ustnej. Dla mnie, jako dentysty, jest to bardzo widoczne. Kwas żołądkowy, mający ekstremalnie niskie pH, powoduje charakterystyczne erozje szkliwa, szczególnie na wewnętrznych (podniebiennych i językowych) powierzchniach zębów. Szkliwo staje się cieńsze, zęby mogą być bardziej wrażliwe, a ich powierzchnia staje się gładka i błyszcząca. Pacjenci często nie są świadomi, że mają refluks, a to ja, podczas rutynowego przeglądu, mogę zauważyć te zmiany i zasugerować konsultację z gastroenterologiem. To pokazuje, jak ważna jest rola stomatologa w wczesnym wykrywaniu problemów ogólnoustrojowych.
Jak styl życia odciska piętno w Twojej jamie ustnej?
Stres i zgrzytanie zębami (bruksizm): Dlaczego Twoje zęby są coraz krótsze?
Bruksizm, czyli nieświadome zgrzytanie lub zaciskanie zębów, to problem, który dotyka coraz więcej moich pacjentów, często związany z przewlekłym stresem. Niestety, wiele osób nie jest świadomych tego nawyku, zwłaszcza jeśli występuje on głównie w nocy. Ja jednak widzę jego skutki bardzo wyraźnie. Patologicznie starte powierzchnie zębów, często z charakterystycznymi płaskimi fasetami, są dla mnie jasnym sygnałem. Obserwuję również pęknięcia szkliwa, a nawet złamania koron zębów czy wypełnień. Pacjenci często skarżą się na bóle głowy, karku czy sztywność mięśni żuchwy. Moja rola polega wtedy na zdiagnozowaniu problemu i zaproponowaniu rozwiązań, takich jak szyny relaksacyjne, które chronią zęby przed dalszymi uszkodzeniami.
Palenie papierosów: Charakterystyczne znaki, których nie da się ukryć
Palenie papierosów to jeden z najbardziej szkodliwych nawyków, który pozostawia bardzo wyraźne ślady w jamie ustnej, niemożliwe do ukrycia przed doświadczonym okiem dentysty. Widzę charakterystyczne, ciemne osady i przebarwienia na zębach, szczególnie na ich wewnętrznych powierzchniach. Dziąsła palaczy często są blade, a jednocześnie bardziej podatne na zapalenia i choroby przyzębia, które postępują u nich znacznie szybciej i agresywniej. Zauważam także suchość w ustach, nieświeży oddech oraz zwiększone ryzyko rozwoju zmian przednowotworowych i nowotworów jamy ustnej. Te wszystkie obserwacje są dla mnie podstawą do szczerej rozmowy z pacjentem o konsekwencjach jego nawyku i zachęcenia do rzucenia palenia.Wizyta u dentysty: Co jeszcze podlega ocenie oprócz zębów?
Ocena błony śluzowej: W poszukiwaniu niepokojących zmian
Moje badanie nie ogranicza się wyłącznie do zębów i dziąseł. Bardzo dokładnie oceniam stan błony śluzowej policzków, warg, podniebienia i dna jamy ustnej. Szukam wszelkich zmian zaczerwienień, owrzodzeń, białych plam (leukoplakii) czy guzków. Te obserwacje są niezwykle ważne, ponieważ mogą sugerować różnego rodzaju infekcje, zarówno grzybicze (np. kandydoza), jak i wirusowe (np. opryszczka). Co więcej, niektóre zmiany w błonie śluzowej mogą być stanami przednowotworowymi lub nawet wczesnymi objawami nowotworów jamy ustnej. Wczesne wykrycie takich zmian jest absolutnie kluczowe dla skutecznego leczenia i ratowania życia pacjenta, dlatego nigdy nie pomijam tej części badania.
Badanie języka: Więcej niż tylko organ smaku
Język to fascynujący organ, który również dostarcza mi mnóstwa informacji o ogólnym stanie zdrowia. Zwracam uwagę na jego kolor czy jest różowy i zdrowy, czy może blady (anemia), czerwony (niedobory witamin) lub pokryty nalotem (problemy trawienne, infekcje grzybicze). Oceniam jego fakturę czy brodawki smakowe są prawidłowe, czy może język jest wygładzony lub popękany. Niekiedy obserwuję również odciski zębów na brzegach języka, co może wskazywać na bruksizm lub parafunkcje. Każda nietypowa zmiana na języku jest dla mnie sygnałem do dalszej analizy i ewentualnie skierowania pacjenta na dodatkowe badania.

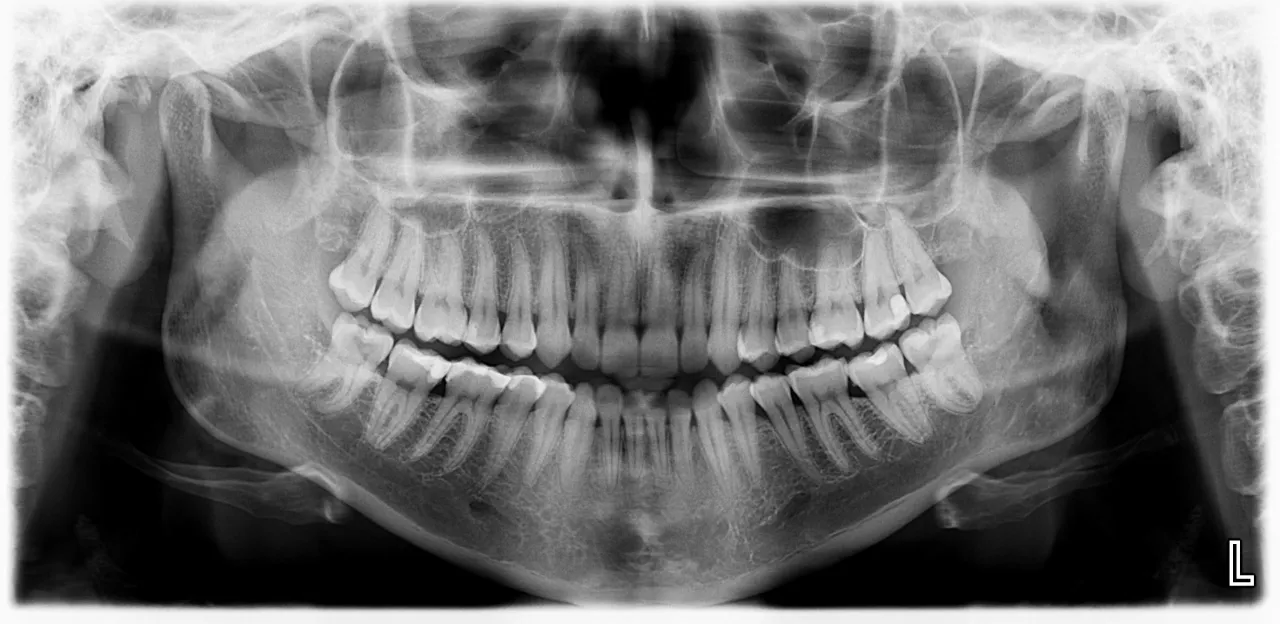
Rentgen powie prawdę: Co kryje się pod powierzchnią?
Co kryje się pod dziąsłami i wewnątrz kości? Analiza zdjęcia RTG
Nawet najbardziej dokładne badanie kliniczne ma swoje ograniczenia. Wiele problemów zdrowotnych jamy ustnej kryje się pod powierzchnią dziąseł i wewnątrz kości, niewidocznych gołym okiem. Dlatego właśnie zdjęcia rentgenowskie, zarówno pantomograficzne (przeglądowe), jak i punktowe, są absolutnie kluczowe w mojej diagnostyce. Pozwalają mi ocenić stan korzeni zębów, sprawdzić, czy nie ma tam stanów zapalnych, torbieli czy zmian okołowierzchołkowych. Widzę również poziom kości wokół zębów, co jest niezwykle ważne w diagnostyce chorób przyzębia. Zdjęcia RTG ujawniają także ukryte ubytki próchnicowe, które rozwijają się między zębami i są niewidoczne podczas standardowego przeglądu.
Zęby zatrzymane, torbiele, stany zapalne: Ukryte zagrożenia pod kontrolą
Dzięki zdjęciom rentgenowskim jestem w stanie zdiagnozować szereg patologii, które bez nich pozostałyby niezauważone, stanowiąc potencjalne zagrożenie dla zdrowia pacjenta:
- Zęby zatrzymane: Często są to ósemki, które nie wyrznęły się prawidłowo i mogą powodować ból, stany zapalne lub uszkadzać sąsiednie zęby.
- Torbiele: Patologiczne jamy wypełnione płynem, które mogą rozwijać się w kości szczęki lub żuchwy, często bezobjawowo, a ich wzrost może prowadzić do zniszczenia kości.
- Stany zapalne wokół wierzchołków korzeni: Niewidoczne klinicznie, ale doskonale widoczne na RTG jako przejaśnienia w kości, świadczące o przewlekłym procesie zapalnym, który wymaga leczenia kanałowego lub usunięcia zęba.
- Resztkowe korzenie: Fragmenty korzeni zębów, które pozostały w kości po wcześniejszych ekstrakcjach i mogą być źródłem infekcji.
- Zmiany w stawach skroniowo-żuchwowych: Zdjęcie pantomograficzne pozwala również na wstępną ocenę tych stawów, co jest pomocne w diagnostyce problemów ze zgryzem czy bruksizmem.
Nie bój się pytań! Szczery wywiad z dentystą to klucz do zdrowia
Jak Twoje odpowiedzi pomagają w postawieniu trafnej diagnozy?
Badanie fizykalne i diagnostyka obrazowa to jedno, ale szczery i dokładny wywiad z pacjentem to fundament kompleksowej diagnozy. Pytania o choroby przewlekłe, przyjmowane leki, alergie, nawyki żywieniowe, a nawet poziom stresu, nie są zadawane z ciekawości, ale z potrzeby zrozumienia pełnego obrazu Twojego zdrowia. Informacje o cukrzycy, chorobach serca, osteoporozie czy problemach z tarczycą mają bezpośredni wpływ na stan jamy ustnej i wybór metody leczenia. Leki, które przyjmujesz, mogą powodować suchość w ustach lub wpływać na krzepliwość krwi. Wszystkie te dane pozwalają mi postawić trafniejszą diagnozę i zaplanować bezpieczne oraz skuteczne leczenie, dostosowane indywidualnie do Twoich potrzeb.
Przeczytaj również: Ile działa znieczulenie u dentysty? Czas, rodzaje i porady eksperta




