Ile trwa zdjęcie szwów z dziąsła? Bezbolesny zabieg? Sprawdź!
Zdjęcie szwów z dziąsła to szybki i zazwyczaj bezbolesny zabieg. Dowiedz się, ile trwa, kiedy je usunąć i jak dbać o dziąsło po wizycie.
Dziąsła są kluczowym elementem zdrowia jamy ustnej, a ich kondycja ma ogromny wpływ na ogólne samopoczucie. W tej kategorii znajdziesz artykuły dotyczące pielęgnacji dziąseł, najczęstszych problemów oraz skutecznych metod ich leczenia. Dowiedz się, jak zapobiegać chorobom dziąseł, jakie nawyki wprowadzić do swojej codziennej rutyny oraz jakie produkty mogą pomóc w utrzymaniu ich w doskonałej formie. Nasze teksty są pisane z pasją i zrozumieniem, aby każdy mógł cieszyć się zdrowym uśmiechem. Zachęcamy do lektury i odkrywania cennych wskazówek, które pomogą Ci zadbać o Twoje dziąsła i całą jamę ustną.
Zdjęcie szwów z dziąsła to szybki i zazwyczaj bezbolesny zabieg. Dowiedz się, ile trwa, kiedy je usunąć i jak dbać o dziąsło po wizycie.
Ból po wyrwaniu ósemki? Sprawdź, jak długo trwa normalne gojenie, kiedy szukać pomocy i jak skutecznie łagodzić dolegliwości. Poznaj objawy alarmowe i suchy zębodół.
Opuchnięte dziąsła bolą? Poznaj sprawdzone domowe sposoby na szybką ulgę i dowiedz się, kiedy konieczna jest wizyta u dentysty. Sprawdź skuteczne płukanki!
Bolące dziąsła w ciąży? Odkryj bezpieczne domowe sposoby i apteczne rozwiązania. Dowiedz się, jak dbać o higienę i kiedy iść do dentysty. Zadbaj o siebie i maluszka!
Olejek goździkowy na dziąsła: poznaj bezpieczne metody stosowania na ból i stan zapalny. Dowiedz się, jak rozcieńczać, aplikować i kiedy iść do dentysty.
Ile trwa gojenie afty na dziąśle? Poznaj typy aft, czynniki wpływające na czas leczenia i sprawdź, kiedy konieczna jest wizyta u specjalisty.
Dowiedz się, co na zapalenie dziąseł w ciąży jest bezpieczne i skuteczne. Poznaj domowe sposoby, rolę dentysty i jak dbać o zdrowie jamy ustnej.
Sprawdź, ile trwa gojenie dziąsła po zabiegu i jak je przyspieszyć. Poznaj etapy regeneracji, dietę i unikaj suchego zębodołu. Czytaj nasz poradnik!
Boli dziąsło? Poznaj skuteczne domowe sposoby na ulgę, najczęstsze przyczyny i sygnały alarmowe wymagające wizyty u dentysty. Sprawdź, jak zapobiegać.
Co na zapalenie dziąseł? Poznaj skuteczne domowe sposoby, apteczne preparaty i porady stomatologa na ból, krwawienie i obrzęk. Sprawdź nasz poradnik!
Kompleksowy poradnik, jak skutecznie regenerować dziąsła. Poznaj przyczyny, skuteczne domowe sposoby i profesjonalne zabiegi. Odzyskaj zdrowy uśmiech!
Zobacz, jak wyglądają dziąsła przy ząbkowaniu. Rozpoznaj typowe zmiany, odróżnij normę od choroby i znajdź skuteczne sposoby na ulgę. Sprawdź nasz poradnik!
Poznaj objawy zapalenia dziąseł: od krwawienia po obrzęk. Dowiedz się, co oznaczają, kiedy iść do dentysty i jak skutecznie leczyć. Nie ignoruj sygnałów!
Co na ból dziąseł? Odkryj domowe sposoby, skuteczne żele i płukanki. Dowiedz się, kiedy wizyta u stomatologa jest niezbędna. Szybka ulga!
Ulga na ból dziąsła: domowe metody, leki bez recepty i sygnały alarmowe. Zrozum przyczyny i dowiedz się, jak skutecznie dbać o dziąsła.
Masz problem z resztkami kleju do protez na dziąsłach? Odkryj proste i bezpieczne metody usuwania krok po kroku. Poznaj triki i unikaj błędów! Sprawdź poradnik.
Zapalenie dziąseł: Ile trwa leczenie i co wpływa na czas gojenia? Poznaj objawy, skuteczne metody i kiedy iść do dentysty, by uniknąć paradontozy.
Spuchnięte dziąsło? Odkryj domowe sposoby na szybką ulgę, poznaj przyczyny i dowiedz się, kiedy pilnie udać się do dentysty. Twój przewodnik po zdrowych dziąsłach.
Jak przygotować i stosować płukankę z szałwii na zapalenie i krwawienie dziąseł? Poznaj proporcje, przeciwwskazania i efekty. Sprawdź nasz poradnik!
Jak odbudować dziąsła? Poznaj przyczyny recesji, skuteczne metody leczenia (przeszczepy, mikrochirurgia) i profilaktykę. Sprawdź, czy Twoje dziąsła mogą odrosnąć.
Jak wygląda afta na dziąśle? Zobacz zdjęcia, poznaj przyczyny i skuteczne metody leczenia. Odróżnij ją od opryszczki i znajdź ulgę w bólu. Sprawdź nasz poradnik!
Jak rozpoznać zapalenie dziąseł? Zobacz, co oznaczają krwawienie, czerwień i opuchlizna. Poznaj przyczyny, skuteczne leczenie i domowe sposoby. Działaj!
Zobacz, jak wygląda rak dziąseł na zdjęciach. Poznaj wczesne objawy, czynniki ryzyka i sprawdź, kiedy pilnie iść do lekarza. Wczesna diagnoza ratuje życie!
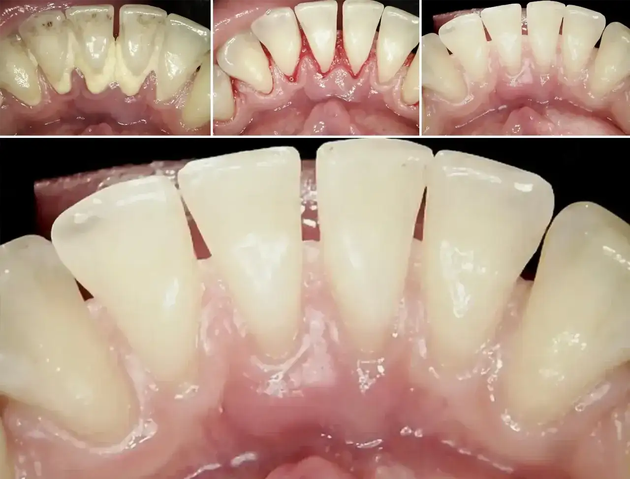
Dowiedz się, jak wyglądają zdrowe dziąsła: kolor, struktura i sygnały. Poznaj objawy chorób, przyczyny i skuteczną profilaktykę. Sprawdź, jak dbać o uśmiech!
Jak zatamować krwotok z dziąsła? Poznaj szybkie metody pierwszej pomocy, przyczyny krwawienia i skuteczne sposoby profilaktyki. Sprawdź, kiedy iść do dentysty!