
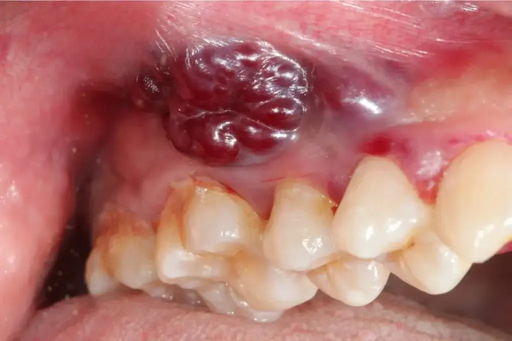
Objawy nowotworu jamy ustnej: Wczesne sygnały, których nie wolno ignorować
Poznaj wczesne objawy nowotworu jamy ustnej i dowiedz się, jak rozpoznać niepokojące zmiany. Sprawdź, kiedy reagować i gdzie szukać pomocy.

Poznaj wczesne objawy nowotworu jamy ustnej i dowiedz się, jak rozpoznać niepokojące zmiany. Sprawdź, kiedy reagować i gdzie szukać pomocy.

Zastanawiasz się, jak wygląda ząb na sztyfcie? Odkryj budowę, materiały (włókno szklane, cyrkon), koszty i porównanie z implantem. Poznaj szczegóły!

Afty na dziąsłach: dowiedz się, jak rozpoznać typowe objawy i wygląd. Odróżnij je od opryszczki, poznaj przyczyny i sprawdzone sposoby na ulgę.

Boli Cię ząb? Poznaj szczegółowe metody diagnostyki stomatologicznej: od wywiadu po RTG. Zmniejsz lęk przed wizytą i dowiedz się, co Cię czeka!

Zmniejsz opuchliznę po wyrwaniu zęba! Poznaj sprawdzone metody na szybką ulgę i gojenie: zimne okłady, dieta i czego unikać. Dowiedz się, kiedy szukać pomocy.

Rozpoznaj wczesne objawy raka jamy ustnej na zdjęciach: leukoplakia, owrzodzenia, guzki. Poznaj czynniki ryzyka i sprawdź, jak postępować. Działaj szybko!

Boisz się znieczulenia u dentysty? Odkryj nowoczesne metody, które sprawiają, że zastrzyk jest niemal bezbolesny. Zminimalizuj strach i dyskomfort!

Ile kosztuje aparat ortodontyczny w Polsce? Poznaj całkowity koszt leczenia, najtańsze opcje (od 800 zł), ukryte wydatki i sposoby finansowania. Sprawdź!

Oral-B iO czy Philips Sonicare? Porównaj technologie, funkcje i koszty. Poznaj wady i zalety obu szczoteczek i wybierz idealną dla siebie!

Krwawienie po wyrwaniu zęba to norma. Dowiedz się, ile trwa, kiedy martwić się o krwotok i jak dbać o ranę. Sprawdź objawy alarmowe!