Ten kompleksowy przewodnik pomoże Ci zrozumieć przyczyny przebarwień zębów oraz szczegółowo przedstawi i porówna dostępne metody wybielania zarówno profesjonalne, jak i te do samodzielnego stosowania w domu. Dowiedz się, która opcja jest najbezpieczniejsza, najskuteczniejsza i najlepiej dopasowana do Twoich potrzeb, aby świadomie podjąć decyzję o pięknym uśmiechu.
Wybielanie zębów: profesjonalne metody czy domowe sposoby co musisz wiedzieć?
- Zawsze skonsultuj się ze stomatologiem i wykonaj higienizację (skaling, piaskowanie) przed wybielaniem.
- Profesjonalne wybielanie (nakładkowe, lampą) oferuje najlepsze i najtrwalsze efekty, choć jest droższe (900-2500 zł).
- Pasty i paski wybielające działają powierzchniowo, usuwając osady, a ich zdolność do zmiany koloru zęba jest ograniczona.
- Unikaj ryzykownych domowych metod, takich jak węgiel aktywny, soda oczyszczona czy cytryna, które mogą trwale uszkodzić szkliwo.
- Po wybielaniu kluczowa jest "biała dieta" przez minimum 48 godzin, aby utrwalić efekty.
- Przejściowa nadwrażliwość zębów po zabiegu jest częsta, ale zazwyczaj ustępuje po kilku dniach.
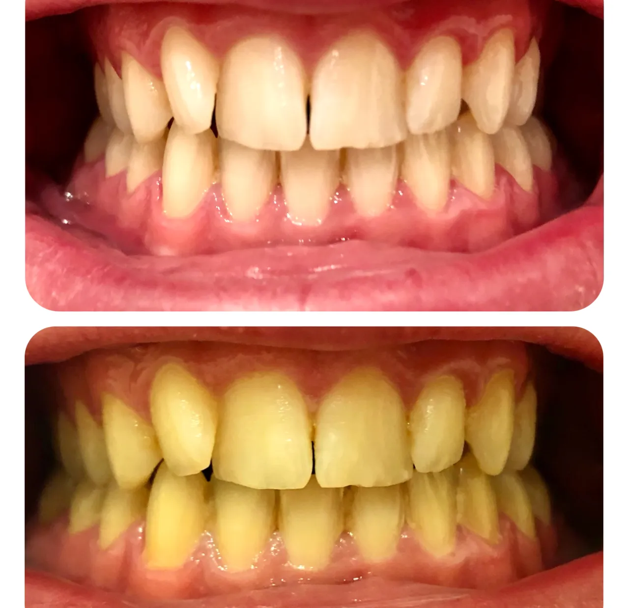
Wybielanie zębów to jeden z najpopularniejszych zabiegów estetycznych, który pozwala odzyskać jaśniejszy i bardziej promienny uśmiech. Zanim jednak zdecydujesz się na konkretną metodę, warto zrozumieć, co tak naprawdę wpływa na kolor naszych zębów i jakie opcje są dostępne na rynku. Moim celem jest dostarczenie Ci rzetelnych informacji, które pomogą podjąć świadomą i bezpieczną decyzję, niezależnie od tego, czy rozważasz profesjonalny zabieg w gabinecie, czy domowe sposoby.
Przebarwienia zębów można podzielić na dwie główne kategorie: zewnętrzne i wewnętrzne. Przebarwienia zewnętrzne to te, które gromadzą się na powierzchni szkliwa i są wynikiem naszych codziennych nawyków. Kawa, herbata, czerwone wino, napoje gazowane, a przede wszystkim palenie papierosów, to główni winowajcy. Te substancje wnikają w mikroskopijne pory szkliwa, pozostawiając osady, które z czasem stają się coraz bardziej widoczne. Regularna higiena jamy ustnej, choć kluczowa, często nie wystarcza, aby całkowicie usunąć te uporczywe plamy. Z kolei przebarwienia wewnętrzne są znacznie trudniejsze do usunięcia, ponieważ dotyczą głębszych struktur zęba, czyli zębiny. Mogą być one spowodowane czynnikami genetycznymi, wiekiem (z wiekiem zębina ciemnieje, a szkliwo staje się cieńsze), przyjmowaniem niektórych leków (np. antybiotyków tetracyklinowych w dzieciństwie), urazami zębów, a także leczeniem kanałowym, które może prowadzić do ściemnienia martwego zęba. Zrozumienie przyczyn jest pierwszym krokiem do wyboru odpowiedniej metody wybielania, ponieważ nie każda metoda poradzi sobie z każdym typem przebarwień.

Zanim zaczniesz wybielać: absolutne podstawy, o których nie możesz zapomnieć
Z mojego doświadczenia jako stomatologa, zawsze podkreślam, że absolutnie kluczowym krokiem przed jakimkolwiek wybielaniem jest wizyta u stomatologa. Nie ma znaczenia, czy planujesz profesjonalny zabieg, czy zamierzasz użyć produktów dostępnych w drogerii profesjonalna ocena stanu jamy ustnej jest niezbędna. Podczas takiej wizyty stomatolog nie tylko oceni, czy kwalifikujesz się do wybielania, ale również wyleczy ewentualne ubytki próchnicowe i wykona profesjonalną higienizację, czyli skaling (usunięcie kamienia nazębnego) oraz piaskowanie (usunięcie osadów i przebarwień). To niezwykle ważne, ponieważ wybielanie na zębach z kamieniem czy próchnicą jest nie tylko mniej skuteczne, ale przede wszystkim może być niebezpieczne i prowadzić do poważnych komplikacji, takich jak silna nadwrażliwość czy uszkodzenie tkanek zęba.Istnieje szereg przeciwwskazań, które uniemożliwiają lub odraczają zabieg wybielania. Pamiętaj, że bezpieczeństwo jest zawsze priorytetem. Do najważniejszych przeciwwskazań należą:
- Wiek poniżej 16-18 lat (szkliwo i miazga są jeszcze niedojrzałe).
- Ciąża i karmienie piersią.
- Próchnica i nieszczelne wypełnienia (mogą prowadzić do podrażnienia miazgi).
- Choroby dziąseł i przyzębia, takie jak paradontoza, stany zapalne.
- Znaczna nadwrażliwość zębów.
- Alergia na składniki preparatów wybielających (najczęściej nadtlenek wodoru lub karbamidu).
- Obecność licówek, koron, mostów lub innych uzupełnień protetycznych w strefie estetycznej, ponieważ nie ulegają one wybieleniu i po zabiegu mogą odróżniać się kolorem od naturalnych zębów.

Profesjonalne wybielanie zębów w gabinecie: przewodnik po metodach
Profesjonalne metody wybielania zębów oferują najbardziej spektakularne i trwałe efekty, ponieważ wykorzystują wyższe stężenia substancji wybielających, a cały proces odbywa się pod ścisłą kontrolą stomatologa. W Polsce dominują dwie główne techniki: wybielanie nakładkowe oraz wybielanie lampą. Każda z nich ma swoje zalety i jest przeznaczona dla nieco innych potrzeb pacjenta.
Wybielanie nakładkowe: kontrolowany efekt w domowym zaciszu pod okiem eksperta
Wybielanie nakładkowe to metoda, która łączy komfort domowego stosowania z bezpieczeństwem i skutecznością nadzorowaną przez stomatologa. Proces rozpoczyna się od pobrania wycisków szczęki i żuchwy, na podstawie których w laboratorium protetycznym tworzone są indywidualnie dopasowane nakładki. Są one idealnie przylegające do zębów, co zapobiega wyciekaniu żelu wybielającego i podrażnianiu dziąseł. Pacjent otrzymuje zestaw strzykawek z żelem wybielającym (najczęściej nadtlenkiem karbamidu o stężeniu 10-16%) oraz szczegółowe instrukcje dotyczące stosowania. Nakładki zazwyczaj nosi się przez kilka godzin dziennie lub na noc, przez okres od 7 do 14 dni. Koszt tej metody waha się od 900 zł do 1500 zł. Efekty są stopniowe, ale bardzo naturalne i trwałe, a pacjent ma większą kontrolę nad intensywnością wybielania.
Wybielanie lampą (np. Beyond): błyskawiczny efekt w godzinę
Wybielanie lampą, często nazywane wybielaniem "w godzinę", to idealne rozwiązanie dla osób, które oczekują szybkich i widocznych rezultatów. Najpopularniejszą technologią jest system Beyond, choć dostępne są również inne lampy LED. Mechanizm działania polega na aplikacji na zęby specjalnego żelu wybielającego o wysokim stężeniu nadtlenku wodoru (do 35%), który następnie jest aktywowany światłem lampy. Światło przyspiesza proces utleniania, rozbijając cząsteczki przebarwień. Przed zabiegiem dziąsła są starannie zabezpieczane, aby zapobiec podrażnieniom. Cały zabieg trwa zazwyczaj około 60-90 minut i składa się z kilku cykli aplikacji żelu i naświetlania. Efekty są natychmiastowe i spektakularne, zęby mogą rozjaśnić się nawet o kilka odcieni. Koszt wybielania lampą to zazwyczaj od 1200 zł do 2500 zł, choć w niektórych klinikach pakiety mogą kosztować nawet ponad 4000 zł. Moim zdaniem, jest to doskonała opcja dla tych, którzy cenią sobie szybkość i maksymalny efekt.
Wybielanie martwego zęba: specjalistyczne rozwiązanie po leczeniu kanałowym
Niekiedy, po leczeniu kanałowym, ząb może ulec ściemnieniu, co jest wynikiem obecności resztek tkanek lub materiałów wypełniających w jego wnętrzu. W takich przypadkach standardowe metody wybielania zewnętrznego są nieskuteczne. Rozwiązaniem jest wybielanie wewnętrzne, czyli wybielanie martwego zęba. Stomatolog otwiera komorę zęba, usuwa stare wypełnienie i umieszcza w środku specjalny preparat wybielający. Ząb jest następnie tymczasowo zamykany, a pacjent wraca na kolejną wizytę po kilku dniach, aby wymienić preparat. Proces ten powtarza się aż do uzyskania pożądanego efektu. Koszt wybielania jednego martwego zęba to zazwyczaj 300-400 zł i wymaga kilku wizyt w gabinecie.
| Metoda | Przebieg/Charakterystyka | Koszt | Efektywność/Trwałość |
|---|---|---|---|
| Wybielanie nakładkowe | Indywidualne nakładki, żel wybielający stosowany w domu przez 7-14 dni. | 900-1500 zł | Stopniowe, naturalne efekty. Utrzymuje się 1-3 lata. |
| Wybielanie lampą (np. Beyond) | Jednorazowy zabieg w gabinecie (60-90 min), aktywacja żelu lampą. | 1200-2500 zł (pakiety do 4000 zł) | Szybkie, spektakularne efekty. Utrzymuje się 1-3 lata. |
| Wybielanie martwego zęba | Wewnętrzna aplikacja preparatu w zębie po leczeniu kanałowym, kilka wizyt. | 300-400 zł za ząb | Skuteczne dla pojedynczych, przebarwionych zębów martwych. |

Domowe sposoby na bielsze zęby: co naprawdę działa, a co może zaszkodzić?
Rynek oferuje mnóstwo produktów do domowego wybielania zębów, a internet pełen jest "cudownych" przepisów na śnieżnobiały uśmiech. Ważne jest, aby podejść do nich z dużą dozą ostrożności i zrozumieć ich realne działanie. Niektóre z nich mogą przynieść niewielkie efekty, inne zaś są po prostu nieskuteczne, a co gorsza mogą trwale uszkodzić Twoje zęby. Zawsze zalecam konsultację ze stomatologiem przed rozpoczęciem jakiejkolwiek domowej kuracji, nawet tej z użyciem produktów drogeryjnych.
Pasty, paski i żele wybielające: analiza produktów z apteki i drogerii
Pasty wybielające to najłatwiej dostępne i najczęściej wybierane produkty. Ich działanie opiera się głównie na usuwaniu osadów i powierzchniowych przebarwień poprzez działanie abrazyjne (ścierne) lub enzymatyczne. Niektóre pasty zawierają niewielkie stężenia nadtlenków (np. nadtlenku karbamidu do 0,1%), które mogą nieznacznie rozjaśnić kolor zęba, ale ich zdolność do zmiany naturalnego odcienia zębiny jest bardzo ograniczona. Ceny past wahają się od 15 zł do 50 zł. Pamiętaj, że zbyt abrazyjne pasty, używane zbyt często, mogą prowadzić do ścierania szkliwa, co w konsekwencji może zwiększyć nadwrażliwość i paradoksalnie sprawić, że zęby będą wydawać się ciemniejsze.
Paski wybielające to kolejna popularna metoda domowa. Są to cienkie, elastyczne paski pokryte żelem zawierającym nadtlenek wodoru w bezpiecznym stężeniu, zazwyczaj niższym niż w gabinecie stomatologicznym. Kuracja paskami trwa zazwyczaj od 7 do 14 dni, a paski nakłada się na zęby na określony czas, zgodnie z instrukcją producenta. Mogą one przynieść zauważalne, choć umiarkowane rozjaśnienie. Koszt zestawu pasków to zazwyczaj od 50 zł do 150 zł. Żele wybielające, aplikowane za pomocą pędzelka lub w dołączonych do zestawu nakładkach uniwersalnych, działają na podobnej zasadzie, również zawierając nadtlenki. Moim zdaniem, są to najbezpieczniejsze i najbardziej efektywne z domowych metod dostępnych bez recepty, pod warunkiem, że są stosowane zgodnie z zaleceniami i po wcześniejszej konsultacji ze stomatologiem.
Węgiel aktywny: hit internetu pod lupą stomatologa
Węgiel aktywny zdobył ogromną popularność w internecie jako "naturalny" sposób na wybielanie zębów. Jego działanie polega na ścieraniu osadów z powierzchni szkliwa dzięki właściwościom abrazyjnym. Niestety, to właśnie te właściwości budzą największe obawy stomatologów. Zbyt częste lub nieumiejętne stosowanie węgla aktywnego może prowadzić do uszkodzenia szkliwa, które jest bezcenną i nieodnawialną tkanką. Uszkodzone szkliwo staje się cieńsze, bardziej porowate, co zwiększa nadwrażliwość zębów i czyni je bardziej podatnymi na przebarwienia w przyszłości. Co więcej, węgiel aktywny nie zmienia wewnętrznego koloru zęba, a jedynie usuwa powierzchniowe plamy. Zdecydowanie odradzam jego stosowanie ze względu na potencjalne, trwałe ryzyko dla zdrowia zębów.
Przeczytaj również: Alkohol po wyrwaniu zęba: Jak długo czekać? Uniknij powikłań!
Soda oczyszczona, cytryna, kurkuma: dlaczego tych metod należy unikać?
Chciałbym bardzo wyraźnie podkreślić: metody wybielania zębów z użyciem sody oczyszczonej i soku z cytryny są niezwykle szkodliwe i należy ich bezwzględnie unikać! Soda oczyszczona, podobnie jak węgiel aktywny, działa silnie ściernie. Jej regularne stosowanie prowadzi do nieodwracalnego uszkodzenia szkliwa, co skutkuje zwiększoną nadwrażliwością, podatnością na próchnicę, a także sprawia, że zęby stają się bardziej chropowate i łatwiej wchłaniają barwniki, przez co paradoksalnie mogą wydawać się ciemniejsze. Sok z cytryny natomiast zawiera silne kwasy, które demineralizują szkliwo, osłabiając jego strukturę i czyniąc je bezbronnym wobec czynników zewnętrznych. Połączenie kwasu i ścierania (np. szczotkowanie zębów po cytrynie) to przepis na katastrofę dla Twojego uśmiechu. Kurkuma, choć naturalna, również nie jest skuteczną metodą wybielania i może pozostawiać żółte przebarwienia na zębach. Nie ryzykuj trwałego uszkodzenia zdrowia swoich zębów dla wątpliwych i potencjalnie niebezpiecznych efektów.
Jak utrzymać efekt śnieżnobiałego uśmiechu na dłużej?
Uzyskanie wymarzonego, jaśniejszego uśmiechu to jedno, ale utrzymanie go na dłużej to drugie. Kluczowym elementem po każdym zabiegu wybielania jest tak zwana "biała dieta". Przez pierwsze 48 godzin, a najlepiej przez 7-14 dni po zabiegu, zęby są szczególnie podatne na ponowne wchłanianie barwników. Dzieje się tak, ponieważ w procesie wybielania otwierają się kanaliki zębinowe, co czyni zęby bardziej "chłonnymi". Dlatego tak ważne jest, aby w tym okresie unikać wszelkich produktów, które mogłyby zabarwić zęby.
Oto lista produktów, których należy unikać w trakcie "białej diety":
- Kawa, herbata (czarna, zielona, czerwona), kakao.
- Czerwone wino, soki owocowe (zwłaszcza ciemne, np. z winogron, wiśni, porzeczek).
- Ciemne owoce (jagody, wiśnie, borówki, jeżyny).
- Ciemne warzywa (buraki, marchew, szpinak).
- Czerwone mięso, wędliny z konserwantami.
- Ciemne sosy (sojowy, balsamiczny, curry).
- Słodycze z barwnikami, czekolada.
- Napoje gazowane, energetyczne.
- Papierosy.
Potencjalne skutki uboczne wybielania: jak radzić sobie z nadwrażliwością?
Jednym z najczęstszych, a zarazem najbardziej dokuczliwych skutków ubocznych wybielania zębów jest przejściowa nadwrażliwość. Po zabiegu wiele osób odczuwa dyskomfort, a nawet ból przy spożywaniu zimnych, gorących, słodkich lub kwaśnych pokarmów i napojów, a także podczas wdychania zimnego powietrza. Dzieje się tak, ponieważ środki wybielające, wnikając w głąb zęba, mogą podrażniać zakończenia nerwowe w miazdze. Dobra wiadomość jest taka, że nadwrażliwość ta jest zazwyczaj przejściowa i ustępuje samoistnie po kilku dniach od zakończenia kuracji. Aby złagodzić dyskomfort, polecam stosowanie specjalnych past do zębów na nadwrażliwość (zawierających np. azotan potasu lub chlorek strontu), żeli z fluorem lub płukanek z fluorem, które pomagają zamknąć kanaliki zębinowe i chronią zęby. W razie silnego bólu można sięgnąć po dostępne bez recepty leki przeciwbólowe. Warto również unikać w tym okresie bardzo zimnych lub gorących pokarmów.
Podsumowanie: która metoda wybielania będzie dla Ciebie najlepsza?
Wybór najlepszej metody wybielania zębów zależy od wielu czynników: Twoich oczekiwań, budżetu, czasu, a przede wszystkim stanu zdrowia jamy ustnej. Poniższa tabela podsumowuje kluczowe różnice, które, mam nadzieję, pomogą Ci podjąć świadomą decyzję.
| Kryterium | Wybielanie profesjonalne (nakładki) | Wybielanie profesjonalne (lampa) | Pasty/Paski wybielające | Domowe metody (np. węgiel) |
|---|---|---|---|---|
| Cena | 900-1500 zł | 1200-2500 zł (pakiety do 4000 zł) | 15-150 zł | Niska (kilka-kilkadziesiąt zł) |
| Czas trwania | 7-14 dni (w domu) | 1 wizyta (60-90 min) | Ciągłe stosowanie (pasty), 7-14 dni (paski) | Zmienne, często długotrwałe |
| Efektywność | Bardzo dobra, naturalne rozjaśnienie | Doskonała, szybkie, spektakularne rozjaśnienie | Ograniczona (usuwanie osadów), niewielkie rozjaśnienie | Brak realnego wybielania, ryzyko uszkodzeń |
| Trwałość efektów | 1-3 lata | 1-3 lata | Krótka, wymaga ciągłego stosowania | Brak |
| Bezpieczeństwo | Wysokie (pod kontrolą stomatologa) | Wysokie (pod kontrolą stomatologa) | Umiarkowane (ryzyko nadwrażliwości/ścierania przy złym użyciu) | Niskie, bardzo wysokie ryzyko uszkodzeń |
Jak widzisz, profesjonalne metody wybielania zębów oferują najlepsze, najbezpieczniejsze i najtrwalsze rezultaty. Produkty drogeryjne mogą być dobrym uzupełnieniem lub rozwiązaniem dla osób z niewielkimi przebarwieniami, ale zawsze po konsultacji ze stomatologiem. Natomiast domowe sposoby oparte na ścieraniu lub kwasach to prosta droga do uszkodzenia szkliwa i poważnych problemów ze zdrowiem jamy ustnej. Moja ostateczna rekomendacja jest jasna: zawsze rozpocznij swoją drogę do jaśniejszego uśmiechu od wizyty u stomatologa. Tylko profesjonalista jest w stanie ocenić stan Twoich zębów, wykluczyć przeciwwskazania i zaproponować najbezpieczniejszą i najskuteczniejszą metodę, dopasowaną do Twoich indywidualnych potrzeb. Pamiętaj, że zdrowie Twoich zębów jest bezcenne.




