Co na podrażnione dziąsła? Domowe triki i apteczne hity
Podrażnione dziąsła? Odkryj domowe sposoby na szybką ulgę i skuteczne preparaty z apteki. Poznaj przyczyny, profilaktykę i kiedy iść do dentysty. Sprawdź!
Podrażnione dziąsła? Odkryj domowe sposoby na szybką ulgę i skuteczne preparaty z apteki. Poznaj przyczyny, profilaktykę i kiedy iść do dentysty. Sprawdź!
Czy piaskowanie zębów boli? Poznaj prawdę o odczuciach podczas zabiegu! Dowiedz się, jak zminimalizować dyskomfort i cieszyć się gładkimi, jasnymi zębami.
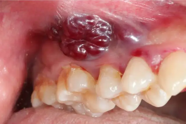
Rak płaskonabłonkowy jamy ustnej: objawy, które musisz znać. Naucz się rozpoznawać wczesne sygnały i zwiększ szanse na wyleczenie. Sprawdź, jak się badać!
Kompleksowy przewodnik po cenach aparatów na zęby na noc: ruchome, retencyjne, szyny relaksacyjne. Sprawdź koszty, refundację i czynniki wpływające na wydatek.
Zastanawiasz się nad szczoteczką soniczną? Poznaj jej zalety, wady i porównaj z rotacyjną. Sprawdź, czy to opłacalna inwestycja w Twój uśmiech!
Zęby oczne które to? Odkryj, dlaczego kły są kluczowe dla zgryzu, jak rozpoznać objawy ich ząbkowania i skutecznie ulżyć dziecku w bólu.
Jak działa aparat na zęby? Poznaj mechanizmy przesuwania zębów, budowę, etapy leczenia i rodzaje aparatów. Sprawdź, jak dbać o piękny uśmiech!
Ropień na dziąśle? Nie przebijaj go samodzielnie! Dowiedz się, dlaczego to ryzykowne i jak stomatolog leczy infekcje. Sprawdź bezpieczne sposoby na ulgę.
Umów wizytę u dentysty na NFZ bez problemu! Sprawdź, co Ci przysługuje, jak znaleźć gabinet i uniknąć pułapek. Pełny poradnik krok po kroku.
Jak wygląda aparat na zęby? Poznaj budowę, rodzaje (metalowe, estetyczne, niewidoczne) i proces zakładania. Rozwiej wątpliwości przed leczeniem.
Znieczulenie stomatologiczne budzi lęk? Sprawdź, dlaczego jest bezpieczne dla większości! Rozwiewamy mity, omawiamy działanie i wskazania dla kobiet w ciąży.
Zastanawiasz się, czy alkohol po wyrwaniu zęba jest bezpieczny? Poznaj ryzyka krwotoku, suchego zębodołu i interakcji z lekami. Sprawdź, ile musisz odczekać.
Szałwia czy rumianek na zapalenie dziąseł? Poznaj ich właściwości, przepisy na płukanki i dowiedz się, kiedy domowe metody to za mało.
Czy dentysta może wystawić L4? Tak! Poznaj swoje prawa, warunki i procedurę uzyskania zwolnienia lekarskiego od stomatologa. Sprawdź, kiedy Ci przysługuje!
Planujesz leczenie ortodontyczne dziecka? Zobacz pełny kosztorys: aparaty (NFZ/prywatnie), diagnostyka, wizyty, retencja. Zaplanuj budżet świadomie!
Poznaj wczesne objawy nowotworu jamy ustnej i dowiedz się, jak rozpoznać niepokojące zmiany. Sprawdź, kiedy reagować i gdzie szukać pomocy.
Przeszczep dziąsła czy warto? Poznaj wskazania, przebieg, koszty i trwałe efekty zabiegu. Dowiedz się, jak chronić zęby i odzyskać zdrowy uśmiech.
Zastanawiasz się, jak wygląda ząb na sztyfcie? Odkryj budowę, materiały (włókno szklane, cyrkon), koszty i porównanie z implantem. Poznaj szczegóły!
Afty na dziąsłach: dowiedz się, jak rozpoznać typowe objawy i wygląd. Odróżnij je od opryszczki, poznaj przyczyny i sprawdzone sposoby na ulgę.
Pierwsza wizyta u dentysty dziecka: kiedy i dlaczego jest kluczowa? Dowiedz się, jak przygotować malucha, co sprawdzi dentysta i czy wizyta jest na NFZ.
Rozpoznaj objawy zapalenia zęba: ból, opuchlizna, nadwrażliwość. Dowiedz się, co robić, by uniknąć powikłań i kiedy pilnie udać się do dentysty.
Zastanawiasz się, ile trwa zakładanie aparatu ortodontycznego? Sprawdź szczegółowy proces, czas montażu na 1 i 2 łuki oraz jak się przygotować.
Rak jamy ustnej: Naucz się rozpoznawać wczesne objawy. Odróżnij niepokojące zmiany od aft i dowiedz się, co robić, by ratować zdrowie. Sprawdź!
Czy aparat na zęby boli? Rozwiewamy obawy! Dowiedz się, co czeka Cię po założeniu, jak radzić sobie z dyskomfortem i czy zdejmowanie boli. Sprawdź porady eksperta.
Jak wybrać szczoteczkę soniczną dla dziecka? Poznaj kluczowe cechy, wiek, bezpieczeństwo i polecane modele. Znajdź idealną dla zdrowego uśmiechu!
Jak prawidłowo wyrzucić szczoteczkę do zębów? Poznaj zasady segregacji plastikowych, elektrycznych i bambusowych. Odkryj eko-alternatywy!
Ropa w dziąśle to pilna infekcja. Sprawdź, jak złagodzić ból domowymi sposobami i dlaczego natychmiastowa wizyta u dentysty jest kluczowa. Poznaj zagrożenia!