Zapalenie dziąseł rozpoznasz po krwawieniu, obrzęku i zmianie koloru nie ignoruj tych sygnałów.
- Krwawienie dziąseł, zwłaszcza podczas szczotkowania, to najczęstszy i najbardziej charakterystyczny objaw.
- Zdrowe dziąsła są bladoróżowe, natomiast stan zapalny objawia się zaczerwienieniem, obrzękiem i tkliwością.
- Nieświeży oddech (halitoza) oraz cofanie się dziąseł (recesja) to sygnały zaawansowanego problemu.
- Główną przyczyną zapalenia dziąseł jest niewłaściwa higiena jamy ustnej prowadząca do nagromadzenia płytki i kamienia nazębnego.
- Nieleczone zapalenie dziąseł może prowadzić do paradontozy, a w konsekwencji nawet do utraty zębów.
- Wczesna diagnoza i profesjonalne leczenie stomatologiczne są kluczowe dla odwrócenia procesu zapalnego.

Zdrowe dziąsła: klucz do zdrowia jamy ustnej i całego organizmu
Dziąsła to często niedoceniany, a wręcz zapomniany element naszej jamy ustnej. Skupiamy się na zębach, ich bieli i braku ubytków, zapominając, że to właśnie dziąsła stanowią fundament, na którym opiera się całe uzębienie. Ich kondycja ma bezpośredni wpływ nie tylko na estetykę uśmiechu, ale przede wszystkim na długoterminowe zdrowie zębów i ogólną kondycję organizmu.
Jak wygląda wzorcowe dziąsło? Krótki przewodnik po zdrowiu jamy ustnej
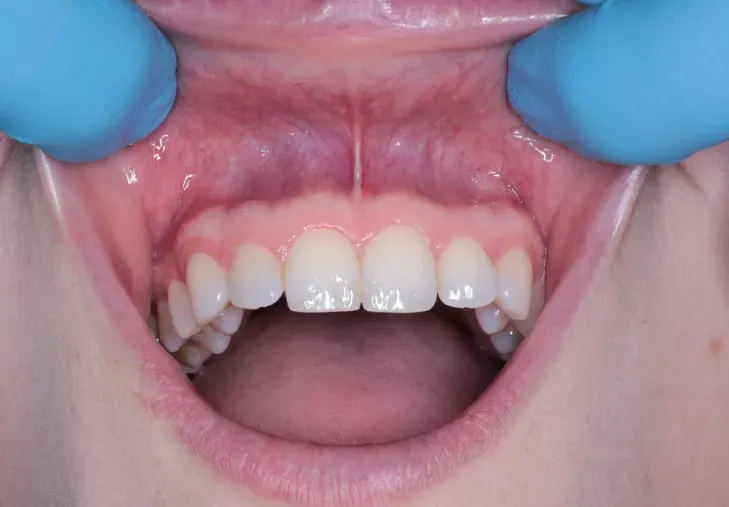
Zacznijmy od tego, jak powinny wyglądać zdrowe dziąsła. W idealnym świecie są one bladoróżowe, zwarte i jędrne. Ich powierzchnia jest matowa, a brzeg dziąsła ściśle przylega do szyjek zębowych, tworząc delikatne, ale wyraźne scallopy (falbanki) między zębami. Nie ma mowy o krwawieniu podczas szczotkowania czy nitkowania, ani o jakiejkolwiek tkliwości. To właśnie ten obraz powinniśmy mieć w głowie, szukając ewentualnych odstępstw, które mogą świadczyć o rozwijającym się stanie zapalnym.
Zapomniany organ: Jak kondycja dziąseł wpływa na serce, cukrzycę i ogólną odporność?
Warto pamiętać, że jama ustna nie jest odizolowanym systemem. Przewlekły stan zapalny w dziąsłach to nie tylko problem lokalny, ale ogólnoustrojowy. Bakterie odpowiedzialne za zapalenie dziąseł mogą przedostawać się do krwiobiegu i wpływać na inne organy. Badania naukowe wielokrotnie potwierdziły, że nieleczone zapalenie dziąseł zwiększa ryzyko chorób sercowo-naczyniowych, udaru mózgu, a także może pogarszać kontrolę cukrzycy. To pokazuje, jak ważne jest dbanie o dziąsła, nie tylko dla pięknego uśmiechu, ale dla zdrowia całego organizmu.

Wczesne objawy zapalenia dziąseł: na co zwrócić uwagę?
Wczesne objawy zapalenia dziąseł są często subtelne i łatwe do przeoczenia. Właśnie dlatego tak ważne jest, aby być uważnym obserwatorem swojej jamy ustnej. Wychwycenie tych początkowych sygnałów to klucz do szybkiego i skutecznego odwrócenia procesu zapalnego.
Subtelna zmiana koloru: Czy Twoje dziąsła przestały być bladoróżowe?
Jednym z pierwszych, choć często niedostrzegalnych objawów, jest zmiana koloru dziąseł. Zamiast zdrowego, bladoróżowego odcienia, dziąsła stają się zaczerwienione. W bardziej zaawansowanych przypadkach mogą przybrać nawet sinofioletową barwę. Ta zmiana jest wynikiem zwiększonego przepływu krwi do tkanek objętych stanem zapalnym. Warto regularnie przyglądać się swoim dziąsłom w lustrze, aby wychwycić te niuanse.
Obrzęk i tkliwość: Kiedy lekka opuchlizna powinna wzbudzić Twój niepokój
Kolejnym wczesnym sygnałem jest obrzęk i opuchlizna dziąseł. Zamiast być zwarte i jędrne, stają się one nabrzmiałe, tracąc swój naturalny, zwarty kształt wokół zębów. Mogą być również tkliwe na dotyk, choć we wczesnym stadium ból może nie występować. Jeśli zauważysz, że Twoje dziąsła wydają się "pełniejsze" lub bardziej miękkie niż zwykle, to sygnał, że coś jest nie tak.
Krwawienie przy myciu zębów: czy to już powód do paniki?
To chyba najbardziej powszechny i charakterystyczny objaw zapalenia dziąseł krwawienie podczas szczotkowania zębów, nitkowania, a nawet jedzenia twardych pokarmów. Wiele osób traktuje to jako normę, bagatelizując problem. Nic bardziej mylnego! Zdrowe dziąsła nie krwawią. Krwawienie jest wyraźnym sygnałem, że toczy się w nich stan zapalny, a jego przyczyną jest najczęściej nagromadzona płytka bakteryjna. Nie ignoruj tego sygnału to Twoje dziąsła wysyłają Ci SOS.
Zaawansowane objawy zapalenia dziąseł: kiedy problem narasta
Jeśli wczesne objawy zostaną zignorowane, zapalenie dziąseł zacznie postępować, prowadząc do bardziej dokuczliwych i poważnych symptomów. Te zaawansowane objawy to wyraźny sygnał, że problem narasta i wymaga pilnej interwencji.
Ból i nadwrażliwość dziąseł: Co oznaczają i jak sobie z nimi radzić?
W miarę postępu stanu zapalnego, dziąsła stają się coraz bardziej bolesne i nadwrażliwe. Może to powodować dyskomfort podczas jedzenia, picia, a nawet mówienia. Ból może być stały lub pojawiać się przy ucisku. To znak, że tkanki są już mocno podrażnione i wymagają leczenia. Radzenie sobie z tym bólem bez usunięcia przyczyny jest tylko maskowaniem problemu.
Nieświeży oddech (halitoza): Skąd się bierze i dlaczego pasta to za mało?
Przewlekły, nieprzyjemny zapach z ust, znany jako halitoza, to kolejny częsty objaw zaawansowanego zapalenia dziąseł. Skąd się bierze? Bakterie gromadzące się w płytce nazębnej i w stanach zapalnych dziąseł produkują lotne związki siarki, które są odpowiedzialne za ten nieprzyjemny zapach. Sama pasta do zębów czy płyn do płukania ust mogą jedynie chwilowo zamaskować problem. Aby pozbyć się halitozy na stałe, musimy usunąć jej źródło, czyli stan zapalny dziąseł.Cofające się dziąsła: Czym jest recesja i jakie są jej skutki?
Recesja dziąseł to cofanie się linii dziąseł, co prowadzi do odsłaniania szyjek zębowych. Zęby wydają się wtedy "dłuższe" niż normalnie. Jest to objaw zaawansowanego zapalenia, który nie tylko pogarsza estetykę uśmiechu, ale także prowadzi do nadwrażliwości zębów na zimno, ciepło czy dotyk. Odsłonięte szyjki zębowe są bardziej podatne na próchnicę i ścieranie. To poważny sygnał, którego nie można ignorować.
Widoczne ropnie i wysięk: Kiedy natychmiast musisz umówić się do dentysty?
Jeśli zauważysz w okolicy dziąseł widoczny wysięk ropny, małe pęcherzyki wypełnione ropą lub ropnie, to jest to sygnał alarmowy, który wymaga natychmiastowej interwencji stomatologicznej. Ropa świadczy o bardzo zaawansowanym procesie zapalnym i infekcji bakteryjnej, która może prowadzić do poważnych komplikacji, w tym utraty zęba. W takim przypadku nie ma co czekać liczy się każda godzina.
Główne przyczyny zapalenia dziąseł: co sprzyja chorobie?
Zrozumienie przyczyn zapalenia dziąseł jest absolutnie kluczowe dla skutecznej profilaktyki i leczenia. Wiedząc, co sprzyja chorobie, możemy świadomie unikać czynników ryzyka i dbać o zdrowie naszej jamy ustnej.
Wróg numer jeden: Jak płytka bakteryjna i kamień nazębny niszczą Twoje dziąsła?
Nie ma co ukrywać główną przyczyną zapalenia dziąseł jest niewłaściwa higiena jamy ustnej. Jeśli nie szczotkujemy zębów regularnie i dokładnie, a także zaniedbujemy nitkowanie, na powierzchni zębów i wzdłuż linii dziąseł gromadzi się płytka bakteryjna. To lepka warstwa pełna bakterii, które produkują toksyny podrażniające dziąsła. Z czasem, jeśli płytka nie jest usuwana, mineralizuje się do kamienia nazębnego, który jest twardy, porowaty i jeszcze bardziej sprzyja rozwojowi bakterii. Kamień działa jak stałe podrażnienie, prowadząc do przewlekłego stanu zapalnego.
Styl życia a zdrowie dziąseł: Wpływ diety, palenia papierosów i stresu
Nasz styl życia ma ogromny wpływ na kondycję dziąseł. Oto kilka kluczowych czynników:
- Palenie papierosów: To jeden z największych wrogów zdrowia dziąseł. Palenie znacząco zwiększa ryzyko chorób dziąseł i utrudnia ich leczenie, maskując objawy, takie jak krwawienie.
- Dieta: Niedobory witamin, zwłaszcza C i K, mogą osłabiać dziąsła i czynić je bardziej podatnymi na stany zapalne. Dieta bogata w cukry sprzyja rozwojowi bakterii.
- Stres: Przewlekły stres osłabia układ odpornościowy, co może sprawić, że dziąsła będą bardziej podatne na infekcje i stany zapalne.
Kiedy cały organizm choruje: Cukrzyca, zmiany hormonalne i inne schorzenia jako źródło problemu
Zapalenie dziąseł często nie jest tylko problemem lokalnym. Istnieje silny związek między stanem dziąseł a chorobami ogólnoustrojowymi. Na przykład, osoby z cukrzycą są znacznie bardziej narażone na problemy z dziąsłami, a przewlekłe zapalenie dziąseł może z kolei utrudniać kontrolę poziomu cukru we krwi. Choroby układu krążenia, białaczka czy obniżona odporność również mają wpływ na kondycję jamy ustnej. Co więcej, zmiany hormonalne, takie jak te występujące w ciąży (ciążowe zapalenie dziąseł dotyka nawet do 70% kobiet!), menopauzie, dojrzewaniu czy podczas stosowania antykoncepcji hormonalnej, mogą nasilać objawy zapalenia dziąseł. Niektóre leki (np. przeciwpadaczkowe, sterydy) również mogą wpływać na dziąsła. To wszystko pokazuje, że zdrowie dziąseł to często odzwierciedlenie ogólnego stanu zdrowia organizmu.Diagnoza i skuteczne leczenie zapalenia dziąseł
Dobra wiadomość jest taka, że zapalenie dziąseł jest w pełni odwracalne, jeśli zostanie odpowiednio wcześnie zdiagnozowane i leczone. Kluczem jest jednak profesjonalna pomoc i konsekwencja w domowej higienie.
Czego spodziewać się w gabinecie dentystycznym? Przebieg wizyty kontrolnej
Jeśli podejrzewasz u siebie zapalenie dziąseł, pierwszą rzeczą, jaką powinieneś zrobić, jest wizyta u dentysty lub periodontologa. Diagnoza w gabinecie stomatologicznym polega na kilku etapach. Lekarz przeprowadzi dokładną ocenę wizualną dziąseł, zwróci uwagę na ich kolor, kształt, obrzęk i ewentualne krwawienie. Następnie przeprowadzi wywiad z pacjentem, pytając o objawy, nawyki higieniczne i ogólny stan zdrowia. Kluczowym elementem jest również badanie głębokości kieszonek dziąsłowych za pomocą specjalnej sondy periodontologicznej. Zdrowe kieszonki mają głębokość do 3 mm; większe wartości wskazują na stan zapalny i potrzebę interwencji.
Profesjonalna higienizacja: Dlaczego skaling i piaskowanie to podstawa leczenia?
Podstawą leczenia zapalenia dziąseł jest profesjonalna higienizacja w gabinecie stomatologicznym. Obejmuje ona:
- Skaling: To zabieg usuwania kamienia nazębnego, zarówno naddziąsłowego, jak i poddziąsłowego, za pomocą ultradźwięków. Kamień jest głównym siedliskiem bakterii i mechanicznym podrażnieniem dla dziąseł.
- Piaskowanie: Po usunięciu kamienia, zęby są piaskowane, co pozwala usunąć osady i przebarwienia, a także wygładzić powierzchnię zębów, utrudniając ponowne przyleganie płytki bakteryjnej.
Te zabiegi są niezbędne, aby usunąć główną przyczynę stanu zapalnego i stworzyć warunki do regeneracji dziąseł.
Odwrócenie procesu jest możliwe: Domowe sposoby i zmiana nawyków jako klucz do zdrowych dziąseł
Profesjonalne leczenie to połowa sukcesu. Równie ważna, a może nawet ważniejsza, jest Twoja rola w codziennej higienie i zmianie nawyków. Aby odwrócić proces zapalny i zapobiec jego nawrotom, musisz:
- Poprawić technikę szczotkowania: Szczotkuj zęby co najmniej dwa razy dziennie, przez dwie minuty, używając miękkiej szczoteczki i odpowiedniej techniki (np. techniki Bassa).
- Regularnie nitkować zęby: Nitkowanie jest niezbędne do usuwania płytki bakteryjnej i resztek pokarmowych z przestrzeni międzyzębowych, gdzie szczoteczka nie dociera.
- Stosować specjalistyczne pasty i płukanki: Dentysta może zalecić pasty do zębów i płukanki antybakteryjne, które wspomagają leczenie i redukują ilość bakterii w jamie ustnej.
- Zmienić dietę: Ogranicz spożycie cukrów i zadbaj o odpowiednią podaż witamin C i K.
- Rzucić palenie: Jeśli palisz, to jest to jeden z najlepszych kroków, jakie możesz podjąć dla zdrowia swoich dziąseł.
Zapalenie dziąseł czy paradontoza: zrozumieć różnicę
Bardzo często te dwa terminy są używane zamiennie, co jest błędem. Zrozumienie kluczowej różnicy między zapaleniem dziąseł a paradontozą jest niezwykle ważne, ponieważ konsekwencje zaniedbania są diametralnie różne.
Zrozumieć różnicę: Dlaczego zapalenie dziąseł to nie to samo co paradontoza?
Zapalenie dziąseł (gingivitis) to stan zapalny ograniczony do tkanek miękkich dziąseł. Jest to choroba w pełni odwracalna. Jeśli zostanie odpowiednio zdiagnozowana i leczona, dziąsła mogą wrócić do pełnego zdrowia. Natomiast paradontoza (zapalenie przyzębia) to znacznie poważniejsza choroba, która rozwija się, gdy nieleczone zapalenie dziąseł postępuje. Paradontoza atakuje głębsze tkanki, w tym kość wyrostka zębodołowego, więzadła ozębnej oraz cement korzeniowy czyli wszystkie struktury utrzymujące ząb w kości. To właśnie ta różnica jest kluczowa: zapalenie dziąseł dotyczy tylko dziąseł, paradontoza niszczy aparat utrzymujący ząb.
Nieodwracalne skutki zaniedbania: Jak stan zapalny prowadzi do utraty zębów
Gdy zapalenie dziąseł przechodzi w paradontozę, proces staje się znacznie trudniejszy do odwrócenia, a czasem wręcz niemożliwy w pełni. Niszczenie kości i więzadeł ozębnej prowadzi do powstawania głębokich kieszonek przyzębnych, w których gromadzą się bakterie, pogłębiając stan zapalny. W miarę postępu choroby, zęby zaczynają się rozchwiewać, a ich utrata staje się realnym zagrożeniem. To nieodwracalny skutek zaniedbania, który ma ogromny wpływ na jakość życia, zdolność do jedzenia, mówienia i ogólne samopoczucie. Dlatego tak mocno podkreślam, że wczesna reakcja na objawy zapalenia dziąseł jest absolutnie kluczowa.
Twoje dziąsła wysyłają sygnały: naucz się je odczytywać i reagować
Mam nadzieję, że ten artykuł pomógł Ci zrozumieć, jak ważne są Twoje dziąsła i jakie sygnały wysyłają, gdy coś jest nie tak. Pamiętaj, że proaktywne podejście do zdrowia jamy ustnej to najlepsza inwestycja w Twój uśmiech i ogólne samopoczucie.
Kiedy obserwacja wystarczy, a kiedy wizyta u specjalisty jest absolutnie konieczna?
Podsumowując, oto jasne wytyczne:
- Obserwacja wystarczy (i wzmożona higiena): Jeśli zauważysz bardzo wczesne, łagodne objawy, takie jak lekkie zaczerwienienie czy sporadyczne, niewielkie krwawienie podczas bardzo intensywnego szczotkowania, możesz spróbować poprawić swoją higienę jamy ustnej (dokładniejsze szczotkowanie, nitkowanie) i obserwować dziąsła przez kilka dni.
-
Wizyta u specjalisty jest konieczna:
- Jeśli krwawienie jest częste, obfite lub pojawia się samoistnie.
- Jeśli dziąsła są wyraźnie obrzęknięte, bolesne lub tkliwe.
- Jeśli masz przewlekły nieświeży oddech, którego nie możesz się pozbyć.
- Jeśli zauważysz cofanie się dziąseł lub wrażenie "dłuższych" zębów.
- NATYCHMIASTOWA wizyta u dentysty: Jeśli pojawi się ropa, silny, uporczywy ból, gorączka lub inne niepokojące objawy.
Przeczytaj również: Nowotwór dziąseł: Objawy, które ratują życie. Sprawdź!
Proaktywna profilaktyka: Jak skutecznie zapobiegać problemom z dziąsłami w przyszłości?
Zapobieganie jest zawsze lepsze niż leczenie. Oto Twoja lista kontrolna dla zdrowych dziąseł:
- Regularna i prawidłowa higiena jamy ustnej: Szczotkuj zęby dwa razy dziennie przez dwie minuty, używaj nici dentystycznej codziennie. Rozważ użycie irygatora.
- Wybór odpowiednich narzędzi: Używaj miękkiej szczoteczki i pasty z fluorem.
- Unikanie palenia papierosów: To jeden z najważniejszych kroków w profilaktyce.
- Zdrowa, zbilansowana dieta: Bogata w witaminy i minerały, ograniczająca cukry.
- Regularne wizyty kontrolne u dentysty: Co najmniej raz na 6-12 miesięcy, połączone z profesjonalną higienizacją (skaling, piaskowanie).
- Monitorowanie stanu zdrowia: Kontroluj choroby ogólnoustrojowe, takie jak cukrzyca.




