Profesjonalne usuwanie kamienia nazębnego, znane jako skaling, to zabieg o fundamentalnym znaczeniu dla zachowania zdrowia jamy ustnej. To nie tylko kwestia estetyki, ale przede wszystkim skuteczna profilaktyka wielu poważnych schorzeń, takich jak próchnica czy paradontoza. W tym artykule, jako Aleksander Baranowski, przeprowadzę Państwa krok po kroku przez cały proces, wyjaśniając, na czym dokładnie polega higienizacja, rozwiewając wątpliwości i obawy, które często towarzyszą wizycie u stomatologa.
Profesjonalne usuwanie kamienia nazębnego to klucz do zdrowego uśmiechu i profilaktyki chorób.
- Skaling to główna metoda usuwania kamienia nazębnego, uzupełniana piaskowaniem, polerowaniem i fluoryzacją.
- Zabieg ultradźwiękowy jest najpopularniejszy, a skaling poddziąsłowy może wymagać znieczulenia.
- Zaleca się higienizację raz lub dwa razy w roku, w zależności od indywidualnych potrzeb.
- Koszt pełnego pakietu waha się od 250 do 450 zł, a NFZ refunduje jedynie podstawowy skaling raz w roku.
- Po zabiegu należy przestrzegać "białej diety" i unikać jedzenia/picia przez 2-3 godziny.
- Możliwa jest przejściowa nadwrażliwość zębów i podrażnienie dziąseł.

Kamień nazębny: dlaczego szczoteczka nie wystarczy?
Czym jest kamień nazębny i dlaczego stanowi zagrożenie?
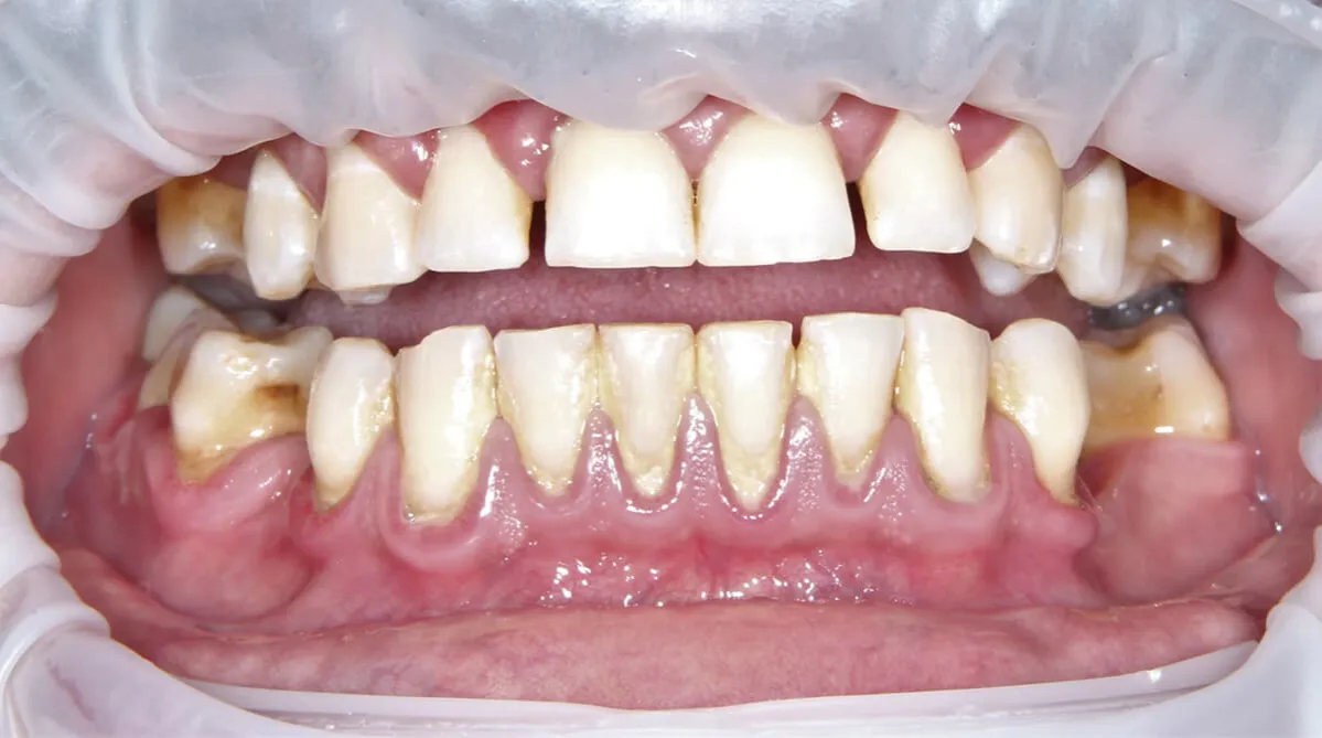
Kamień nazębny to nic innego jak zmineralizowana płytka bakteryjna, która z czasem twardnieje na powierzchni zębów. Rozróżniamy dwa główne typy: kamień naddziąsłowy, widoczny gołym okiem jako żółtawe lub brązowe naloty, oraz kamień poddziąsłowy, ukryty pod linią dziąseł, często ciemniejszy i twardszy. Oba typy stanowią poważne zagrożenie dla zdrowia jamy ustnej. Kamień jest porowaty, co sprzyja rozwojowi bakterii, które produkują kwasy niszczące szkliwo i prowadzące do próchnicy. Co więcej, obecność kamienia podrażnia dziąsła, wywołując stany zapalne, które z czasem mogą przerodzić się w paradontozę chorobę prowadzącą do rozchwiania, a nawet utraty zębów. Niestety, raz powstałego kamienia nie da się usunąć domowymi sposobami, nawet najbardziej precyzyjnym szczotkowaniem czy nitkowaniem.
Skąd bierze się kamień na zębach? Proces powstawania krok po kroku
Proces powstawania kamienia nazębnego rozpoczyna się od codziennego osadzania się na zębach miękkiej płytki bakteryjnej, składającej się z resztek jedzenia, śliny i bakterii. Jeśli płytka nie jest regularnie i dokładnie usuwana, sole mineralne zawarte w ślinie (głównie związki wapnia i fosforu) zaczynają się w niej odkładać. Ten proces mineralizacji sprawia, że miękka płytka stopniowo twardnieje, tworząc coraz grubsze i twardsze złogi kamienia nazębnego. To właśnie dlatego tak ważna jest codzienna, sumienna higiena, ale i regularne wizyty u stomatologa, aby usunąć to, czego sami nie jesteśmy w stanie.
Profesjonalne usuwanie kamienia nazębnego: przewodnik krok po kroku
Etap 1: Skaling fundament czystych zębów
Skaling to serce całej procedury higienizacji. To właśnie na tym etapie usuwamy twarde złogi kamienia nazębnego, które nagromadziły się na powierzchni zębów i pod dziąsłami. Bez skutecznego skalingu, dalsze etapy, takie jak piaskowanie czy polerowanie, nie przyniosłyby oczekiwanych rezultatów. To krok, który przywraca zębom naturalną czystość i stanowi podstawę dla zdrowia dziąseł.
Na czym polega skaling ultradźwiękowy? Technologia w służbie uśmiechu
Najpopularniejszą i najbardziej efektywną metodą jest skaling ultradźwiękowy. Wykorzystujemy w nim specjalne urządzenie skaler ultradźwiękowy, którego końcówka generuje drgania o bardzo wysokiej częstotliwości. W kontakcie z wodą, która jest jednocześnie rozpylana na zęby, drgania te wywołują zjawisko kawitacji. Polega ono na powstawaniu i implozji mikroskopijnych pęcherzyków powietrza, które dosłownie rozbijają złogi kamienia nazębnego, nie uszkadzając przy tym szkliwa. To niezwykle precyzyjna i skuteczna technologia, która pozwala na usunięcie nawet twardego i mocno przylegającego kamienia.
Kiedy stosuje się narzędzia ręczne? Uzupełniająca rola skalingu tradycyjnego
Choć skaling ultradźwiękowy jest dominujący, w niektórych sytuacjach sięgamy po tradycyjne narzędzia ręczne, takie jak kirety i skalery manualne. Są one niezastąpione jako uzupełnienie metody ultradźwiękowej, zwłaszcza w trudno dostępnych miejscach, gdzie precyzja manualna jest kluczowa. Często wykorzystujemy je do delikatnego usuwania kamienia poddziąsłowego, a także u pacjentów, którzy mają przeciwwskazania do użycia ultradźwięków, na przykład osoby z rozrusznikiem serca czy niektórymi implantami. To pokazuje, jak ważne jest indywidualne podejście do każdego pacjenta i elastyczność w doborze metod.
Czy usuwanie kamienia nazębnego boli? Fakty i mity na temat zabiegu
To jedno z najczęściej zadawanych pytań i obaw pacjentów. Muszę Państwa uspokoić: skaling naddziąsłowy jest zazwyczaj bezbolesny. Można odczuwać pewien dyskomfort wibracje, delikatne łaskotanie, a czasem przejściową wrażliwość na zimno, zwłaszcza jeśli kamienia było dużo. Jednak w przypadku usuwania kamienia poddziąsłowego, który jest ukryty i często mocniej przylega, zabieg może być bardziej odczuwalny. W takich sytuacjach, aby zapewnić Państwu pełen komfort, bardzo często wykonujemy go w znieczuleniu miejscowym. Dzięki temu nawet najbardziej wrażliwi pacjenci mogą przejść przez zabieg bez bólu.
Etap 2: Piaskowanie sposób na przebarwienia i osady
Po usunięciu kamienia nazębnego przechodzimy do piaskowania. Ten etap polega na skierowaniu na powierzchnię zębów strumienia wody pod ciśnieniem, wzbogaconego o specjalny, drobny piasek dentystyczny. Celem piaskowania jest usunięcie wszelkich osadów i powierzchownych przebarwień, które często powstają w wyniku spożywania kawy, herbaty, czerwonego wina czy palenia papierosów. Efektem jest nie tylko jaśniejszy uśmiech, ale przede wszystkim wygładzenie powierzchni zębów, co znacznie utrudnia ponowne osadzanie się płytki bakteryjnej i kamienia.
Etap 3: Polerowanie sekret gładkości i blasku Twoich zębów
Polerowanie to ostatni szlif w procesie higienizacji, a jednocześnie bardzo ważny krok. Po skalingu i piaskowaniu, powierzchnia zębów może być lekko szorstka. Aby to zmienić, używamy specjalnych past polerskich oraz gumek lub szczoteczek, które dokładnie wygładzają każdy ząb. Celem polerowania jest nie tylko nadanie zębom pięknego połysku, ale przede wszystkim stworzenie idealnie gładkiej powierzchni. Gładkie zęby są mniej podatne na przyleganie płytki bakteryjnej i osadów, co znacząco wydłuża efekt czystości i ułatwia codzienną higienę.
Etap 4: Fluoryzacja tarcza ochronna dla Twojego szkliwa
Ostatnim, ale niezwykle istotnym etapem profesjonalnej higienizacji jest fluoryzacja. Polega ona na nałożeniu na oczyszczone zęby preparatu o wysokim stężeniu fluoru zazwyczaj w postaci pianki, żelu lub lakieru. Fluor ma za zadanie wzmocnić szkliwo zębów, zwiększając jego odporność na działanie kwasów produkowanych przez bakterie. Jest to doskonała profilaktyka próchnicy, a także pomaga zredukować ewentualną nadwrażliwość zębów, która może pojawić się po zabiegu. To swoista tarcza ochronna, która zabezpiecza Państwa uśmiech na kolejne miesiące.
Przed i po zabiegu usuwania kamienia: ważne wskazówki
Kluczowe zalecenia po skalingu: czego unikać, by efekt utrzymał się dłużej?
- Przez około 2-3 godziny po zabiegu należy unikać jedzenia i picia, poza czystą wodą. Daje to czas na stabilizację dziąseł i wchłonięcie fluoru.
- Przez 24 godziny po zabiegu należy przestrzegać tzw. "białej diety", o której opowiem za chwilę.
- Warto kontynuować dokładną higienę jamy ustnej, używając miękkiej szczoteczki i nici dentystycznej.
- W przypadku nadwrażliwości można stosować pasty do zębów przeznaczone dla zębów wrażliwych.
"Biała dieta" po higienizacji: dlaczego jest tak ważna?
"Biała dieta" to kluczowe zalecenie na pierwsze 24 godziny po zabiegu. Po profesjonalnym czyszczeniu zęby są wyjątkowo podatne na przebarwienia, ponieważ ich powierzchnia jest świeżo oczyszczona i pozbawiona osadów. Unikanie barwiących pokarmów i napojów, takich jak kawa, herbata, czerwone wino, soki owocowe, buraki, jagody czy ciemne sosy, jest niezwykle ważne. Zamiast tego, zalecam spożywanie produktów jasnych, takich jak woda, mleko, jogurt naturalny, białe pieczywo, ryż, drób czy jasne warzywa. Dzięki temu efekt czystych i jaśniejszych zębów utrzyma się znacznie dłużej.
Możliwe dolegliwości po zabiegu: przejściowa nadwrażliwość i podrażnienie dziąseł
Po zabiegu higienizacji, zwłaszcza jeśli kamienia było dużo, mogą Państwo odczuwać pewne przejściowe dolegliwości. Najczęściej jest to nadwrażliwość zębów na zimno, ciepło lub słodkie pokarmy. Jest to normalna reakcja, ponieważ zęby zostały oczyszczone z warstwy kamienia, która działała jak izolacja. Dziąsła mogą być również lekko podrażnione, zaczerwienione lub delikatnie krwawić podczas szczotkowania. Zazwyczaj objawy te ustępują samoistnie w ciągu kilku dni. Jeśli jednak utrzymują się dłużej lub są bardzo nasilone, zawsze warto skonsultować się ze mną lub innym specjalistą.
Skaling w praktyce: koszty, częstotliwość i refundacja
Jak często należy usuwać kamień nazębny, aby zachować zdrowe zęby?
Częstotliwość profesjonalnej higienizacji jest kwestią indywidualną, ale generalnie zaleca się wykonywanie jej raz lub dwa razy w roku. U niektórych pacjentów kamień odkłada się szybciej, na przykład z powodu specyficznego składu śliny, diety czy nawyków higienicznych. W takich przypadkach, aby utrzymać optymalny stan zdrowia jamy ustnej, konieczne mogą być częstsze wizyty. Zawsze podczas kontroli oceniam Państwa indywidualne predyspozycje i doradzam optymalny harmonogram zabiegów.
Ile kosztuje profesjonalne czyszczenie zębów w Polsce? Analiza cen
Koszt profesjonalnego czyszczenia zębów w Polsce może się różnić w zależności od miasta, renomy gabinetu oraz zakresu wykonywanych usług. Pełny pakiet higienizacyjny, obejmujący skaling ultradźwiękowy, piaskowanie, polerowanie i fluoryzację, zazwyczaj mieści się w przedziale od 250 do 450 zł. Sam skaling, bez piaskowania i fluoryzacji, jest oczywiście tańszy, ale rzadko kiedy wystarcza, aby zapewnić kompleksową higienę. Warto pamiętać, że jest to inwestycja w Państwa zdrowie, która pozwala uniknąć znacznie droższych i bardziej skomplikowanych zabiegów w przyszłości.
Przeczytaj również: Ile zarabia dentysta? Cała prawda o dochodach stomatologów
Czy usunięcie kamienia nazębnego jest refundowane przez NFZ?
Tak, usunięcie kamienia nazębnego jest częściowo refundowane przez Narodowy Fundusz Zdrowia. Pacjentowi przysługuje prawo do bezpłatnego usunięcia złogów nazębnych raz w roku. Należy jednak podkreślić, że zakres tej usługi w ramach NFZ jest często ograniczony. Zazwyczaj obejmuje on podstawowy skaling naddziąsłowy i nie zawsze zawiera piaskowanie, polerowanie czy fluoryzację, które są kluczowe dla pełnej higienizacji i długotrwałego efektu. Dlatego wielu pacjentów decyduje się na pełny pakiet w gabinecie prywatnym, aby zapewnić sobie kompleksową opiekę i najlepsze rezultaty.




