Zapalenie dziąseł to powszechny problem, który dotyka wielu z nas, często pozostając niezauważonym na wczesnym etapie. Zrozumienie jego objawów, przyczyn i skutecznych metod leczenia jest absolutnie kluczowe dla utrzymania zdrowia całej jamy ustnej, a także dla naszego ogólnego samopoczucia. Ten artykuł będzie Twoim praktycznym przewodnikiem, który pomoże Ci zidentyfikować problem, zrozumieć jego źródło i podjąć odpowiednie kroki w celu wyleczenia.
Zapalenie dziąseł to problem, który łatwo rozpoznać poznaj kluczowe objawy i metody leczenia
- Zapalenie dziąseł najczęściej objawia się zaczerwienieniem, opuchlizną i krwawieniem podczas szczotkowania, a zdrowe dziąsła są bladoróżowe i jędrne.
- Główną przyczyną jest niewłaściwa higiena jamy ustnej prowadząca do nagromadzenia płytki bakteryjnej i kamienia nazębnego.
- Nieleczone zapalenie dziąseł może prowadzić do paradontozy, a w konsekwencji do utraty zębów oraz wpływać na zdrowie ogólne.
- Wczesne stadium zapalenia dziąseł jest w pełni odwracalne przy odpowiednim leczeniu i poprawie higieny.
- Skuteczne leczenie obejmuje profesjonalny skaling i piaskowanie, a także dokładną codzienną higienę jamy ustnej.
- Domowe płukanki ziołowe (szałwia, rumianek) mogą stanowić wsparcie, ale nie zastąpią wizyty u stomatologa.

Jak rozpoznać zapalenie dziąseł? Obserwuj te sygnały
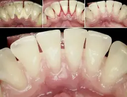
Zacznijmy od podstaw: jak odróżnić zdrowe dziąsła od tych objętych stanem zapalnym? Zdrowe dziąsła są zazwyczaj bladoróżowe, jędrne i ściśle przylegają do zębów, nie krwawiąc nawet podczas intensywnego szczotkowania czy nitkowania. Są one jak solidna podstawa dla naszych zębów. Natomiast dziąsła objęte zapaleniem zmieniają swój wygląd w sposób, który powinien wzbudzić naszą czujność. Stają się jaskrawoczerwone, a czasem nawet sino-fioletowe, są opuchnięte, tkliwe i bardzo często krwawią. Ten wizualny sygnał jest dla mnie jako stomatologa jednym z najważniejszych wskaźników ogólnego stanu zdrowia jamy ustnej.Pierwsze objawy zapalenia dziąseł: Sprawdź, czy problem dotyczy Ciebie
Zmiana koloru: Od zdrowego różu do niepokojącej czerwieni i fioletu
Jednym z najbardziej widocznych sygnałów ostrzegawczych jest zmiana koloru dziąseł. Zdrowe dziąsła, jak już wspomniałem, mają piękny, bladoróżowy odcień. Kiedy jednak pojawia się stan zapalny, ich barwa ewoluuje stają się jaskrawoczerwone, a w bardziej zaawansowanych stadiach mogą przybrać nawet niepokojący, sino-fioletowy odcień. To wyraźny znak, że w tkankach toczy się proces zapalny i nie należy go ignorować.
Opuchlizna i obrzęk: Dlaczego dziąsła stają się "napompowane"?
Poza zmianą koloru, zapalenie dziąseł często objawia się ich opuchlizną i obrzękiem. Dziąsła tracą swoją naturalną, zwartą konsystencję i stają się rozpulchnione, wyglądając, jakby były "napompowane". Mogą wydawać się większe niż zwykle i mniej ściśle przylegać do zębów. To efekt gromadzenia się płynów w tkankach w odpowiedzi na toczący się stan zapalny.
Krwawienie przy szczotkowaniu: Kiedy nie jest to wina szczoteczki?
Kluczowym i bardzo wczesnym objawem, który często jest bagatelizowany, jest krwawienie dziąseł. Jeśli zauważasz krew podczas szczotkowania zębów, nitkowania, a nawet jedzenia twardych pokarmów, to niemal na pewno masz do czynienia z zapaleniem dziąseł. Wiele osób myśli, że to wina zbyt twardej szczoteczki lub zbyt agresywnego szczotkowania. Owszem, to może pogorszyć sytuację, ale samo krwawienie jest sygnałem stanu zapalnego, a nie jedynie mechanicznym uszkodzeniem.
Inne dyskretne symptomy: Bolesność, nieświeży oddech i nadwrażliwość
- Bolesność i tkliwość: Dziąsła stają się wrażliwe na dotyk, a nawet na niewielki ucisk, co może utrudniać jedzenie i codzienną higienę.
- Recesja dziąseł: W miarę postępu choroby może dochodzić do stopniowego odsłaniania się szyjek zębowych, co sprawia, że zęby wydają się dłuższe i są bardziej narażone na nadwrażliwość.
- Nieświeży oddech (halitoza): Utrzymujący się, nieprzyjemny zapach z ust, którego nie da się zwalczyć zwykłym płukaniem, jest bardzo częstym symptomem zapalenia dziąseł, wynikającym z aktywności bakterii.
- Pojawienie się ropy: W zaawansowanych stadiach choroby, zwłaszcza gdy zapalenie przechodzi w paradontozę, może pojawić się wysięk ropny z kieszonek dziąsłowych, co jest bardzo niepokojącym sygnałem.
Skąd bierze się problem? Główne przyczyny zapalenia dziąseł
Zapalenie dziąseł rzadko pojawia się bez powodu. Zazwyczaj jest wynikiem splotu różnych czynników, z których niektóre są pod naszą kontrolą, a inne wymagają interwencji specjalisty. Z mojego doświadczenia wynika, że zrozumienie tych przyczyn to pierwszy krok do skutecznego leczenia i zapobiegania.
Wróg numer jeden: Płytka bakteryjna i kamień nazębny
Bezsprzecznie głównym winowajcą zapalenia dziąseł jest niewłaściwa higiena jamy ustnej. Kiedy nie szczotkujemy zębów dokładnie i regularnie, na ich powierzchni gromadzi się miękki, lepki nalot płytka bakteryjna. Zawiera ona miliony bakterii, które produkują toksyny drażniące dziąsła, prowadząc do stanu zapalnego. Jeśli płytka nie jest usuwana, z czasem mineralizuje się, tworząc twardy kamień nazębny. Kamień ten jest porowaty, co sprzyja dalszemu osadzaniu się bakterii, a jego szorstka powierzchnia dodatkowo podrażnia dziąsła, tworząc idealne środowisko dla rozwoju infekcji.
Twój styl życia pod lupą: Palenie, dieta i stres jako czynniki ryzyka
- Palenie papierosów: To jeden z najgroźniejszych czynników. Palenie nie tylko maskuje objawy zapalenia dziąseł (np. zmniejsza krwawienie), ale także osłabia układ odpornościowy, utrudnia gojenie i zwiększa ryzyko rozwoju paradontozy.
- Nadużywanie alkoholu: Alkohol może wysuszać błonę śluzową jamy ustnej i osłabiać jej naturalne mechanizmy obronne, co sprzyja rozwojowi bakterii.
- Stres: Przewlekły stres osłabia odporność organizmu, czyniąc nas bardziej podatnymi na infekcje, w tym te w jamie ustnej.
- Niewłaściwa dieta: Dieta bogata w cukry i przetworzone produkty sprzyja rozwojowi bakterii w jamie ustnej, podczas gdy niedobory witamin i minerałów (zwłaszcza witaminy C i z grupy B) mogą osłabiać dziąsła.
Kiedy winne są hormony, leki lub inne choroby?
Czasami zapalenie dziąseł ma swoje źródło w czynnikach systemowych, niezależnych od naszej higieny. Choroby takie jak cukrzyca znacząco zwiększają podatność na infekcje dziąseł. Zmiany hormonalne, na przykład w okresie ciąży, menopauzy czy dojrzewania, mogą sprawić, że dziąsła stają się bardziej wrażliwe i podatne na stany zapalne. Niektóre leki, np. te na nadciśnienie czy padaczkę, mogą powodować przerost dziąseł, utrudniając ich czyszczenie. Ponadto, choroby autoimmunologiczne, niedobory witamin (szczególnie C i z grupy B), a także źle dopasowane protezy, aparaty ortodontyczne czy wady zgryzu, które utrudniają prawidłową higienę, również mogą przyczyniać się do rozwoju zapalenia.Nieleczone zapalenie dziąseł: Co grozi, jeśli zignorujesz objawy?
Wielu moich pacjentów pyta, czy zapalenie dziąseł to coś poważnego. Moja odpowiedź jest zawsze taka sama: wczesne zapalenie dziąseł jest w pełni odwracalne, ale nieleczone może prowadzić do bardzo poważnych konsekwencji. Ignorowanie objawów to prosta droga do znacznie groźniejszych problemów, które mogą mieć wpływ nie tylko na Twoje zęby, ale i na ogólny stan zdrowia.
Krok od zapalenia do paradontozy: Jak rozwija się choroba?
Nieleczone zapalenie dziąseł, zwane gingivitis, to dopiero początek. Jeśli stan zapalny utrzymuje się i nie zostanie podjęte leczenie, choroba postępuje, przekształcając się w paradontozę, czyli zapalenie przyzębia. W tym stadium infekcja rozprzestrzenia się głębiej, niszcząc tkanki podtrzymujące zęby kość wyrostka zębodołowego, więzadła ozębnej i cement korzeniowy. Podczas gdy zapalenie dziąseł jest odwracalne i nie pozostawia trwałych uszkodzeń, paradontoza niestety prowadzi do nieodwracalnych zmian. To kluczowa różnica, o której zawsze przypominam.
Konsekwencje dla Twoich zębów: Recesja, ruchomość i ryzyko utraty
Gdy paradontoza zaczyna niszczyć struktury podtrzymujące zęby, pojawiają się poważne konsekwencje. Dziąsła zaczynają się cofać (recesja dziąseł), odsłaniając szyjki zębów, co prowadzi do nadwrażliwości i nieestetycznego wyglądu. W miarę utraty kości, zęby tracą swoje stabilne oparcie i stają się ruchome. To nie tylko dyskomfort, ale realne zagrożenie. W zaawansowanych stadiach paradontozy, zęby mogą stać się tak ruchome, że ostatecznie dochodzi do ich utraty, nawet jeśli są całkowicie zdrowe i bez próchnicy. To scenariusz, którego każdy stomatolog chce uniknąć.
Wpływ na zdrowie ogólne: Związek stanu dziąseł z chorobami serca i cukrzycą
Coraz więcej badań naukowych potwierdza, że zdrowie jamy ustnej nie jest odizolowane od reszty organizmu. Nieleczone choroby dziąseł i przyzębia mogą mieć znaczący wpływ na zdrowie ogólne. Bakterie z jamy ustnej mogą przedostawać się do krwiobiegu, przyczyniając się do rozwoju lub pogorszenia takich schorzeń jak choroby sercowo-naczyniowe (miażdżyca, zawał serca) czy cukrzyca. U osób z cukrzycą, paradontoza może utrudniać kontrolę poziomu cukru we krwi, tworząc błędne koło. Dlatego tak ważne jest, aby traktować zapalenie dziąseł jako sygnał, że należy zadbać o siebie kompleksowo.
Jak skutecznie wyleczyć zapalenie dziąseł? Plan działania krok po kroku
Dobra wiadomość jest taka, że zapalenie dziąseł jest w pełni uleczalne, o ile zostanie podjęte odpowiednie działanie. Kluczem jest połączenie profesjonalnej interwencji z konsekwentną i prawidłową higieną w domu. Jako Aleksander Baranowski, zawsze podkreślam, że to proces wymagający zaangażowania, ale przynoszący wymierne korzyści.
Niezbędna wizyta u specjalisty: Dlaczego skaling to podstawa?
Pierwszym i absolutnie kluczowym krokiem w leczeniu zapalenia dziąseł jest profesjonalne usunięcie kamienia nazębnego i płytki bakteryjnej w gabinecie stomatologicznym. Ten zabieg, znany jako skaling (usuwanie kamienia) i piaskowanie (usuwanie osadów i przebarwień), jest fundamentem. Bez usunięcia głównej przyczyny stanu zapalnego czyli kamienia, który jest siedliskiem bakterii wszelkie inne metody, nawet najbardziej sumienne szczotkowanie, będą nieskuteczne. To tak, jakby próbować gasić pożar, nie usuwając źródła ognia.
Zmień swoje nawyki, a nie tylko pastę: Fundamenty prawidłowej higieny
Po profesjonalnym oczyszczeniu zębów, cała odpowiedzialność za utrzymanie zdrowia dziąseł spoczywa na Twoich codziennych nawykach higienicznych. To jest ten moment, kiedy musisz stać się swoim własnym ekspertem od zdrowia jamy ustnej. Pamiętaj, że nawet najlepsze leczenie gabinetowe nie przyniesie długotrwałych efektów bez Twojego codziennego zaangażowania.
Technika szczotkowania i nitkowania, która robi różnicę
- Szczotkowanie zębów: Myj zęby minimum dwa razy dziennie, przez co najmniej dwie minuty. Używaj szczoteczki o miękkim lub średnim włosiu i skup się na delikatnym, ale dokładnym usuwaniu płytki bakteryjnej z powierzchni zębów i linii dziąseł. Pamiętaj, aby nie szorować zbyt mocno to może uszkodzić dziąsła.
- Nitkowanie przestrzeni międzyzębowych: To absolutnie niezbędny element higieny. Szczoteczka nie jest w stanie dotrzeć do wszystkich zakamarków między zębami. Nitkowanie usuwa płytkę bakteryjną i resztki jedzenia, które są główną przyczyną zapalenia dziąseł w tych trudno dostępnych miejscach. Rób to raz dziennie, najlepiej wieczorem.
Jak wybrać odpowiednią pastę, płyn i szczoteczkę?
Wybór odpowiednich produktów jest równie ważny. Zawsze polecam szczoteczki z miękkim lub średnim włosiem, a w przypadku tendencji do zapalenia dziąseł szczoteczki soniczne, które są bardzo skuteczne w usuwaniu płytki. Pasta do zębów powinna zawierać fluor, a dodatkowo może mieć składniki wspomagające zdrowie dziąseł (np. ziołowe ekstrakty). W ostrych stanach zapalnych stomatolog może zalecić płyny do płukania ust z chlorheksydyną, ale pamiętaj, że ich stosowanie powinno być ograniczone czasowo i pod kontrolą specjalisty, ponieważ długotrwałe użycie może prowadzić do przebarwień.
Domowe sposoby na zapalenie dziąseł: Co naprawdę działa?
Wielu moich pacjentów pyta o domowe sposoby na zapalenie dziąseł. Chcę podkreślić, że choć mogą one stanowić cenne wsparcie w procesie leczenia i łagodzić objawy, to nigdy nie zastąpią profesjonalnej terapii u stomatologa. Domowe metody są uzupełnieniem, a nie alternatywą dla wizyty w gabinecie.
Ziołowa apteczka: Szałwia, rumianek i kora dębu jako wsparcie leczenia
- Szałwia: Znana ze swoich właściwości przeciwzapalnych i ściągających. Płukanki z naparu z szałwii mogą pomóc zmniejszyć obrzęk i krwawienie dziąseł.
- Rumianek: Działa łagodząco, przeciwzapalnie i antyseptycznie. Napar z rumianku to doskonała płukanka, która może przynieść ulgę podrażnionym dziąsłom.
- Kora dębu: Ma silne właściwości ściągające i przeciwzapalne, dzięki czemu może wspomagać gojenie się dziąseł i zmniejszać krwawienie.
Pamiętaj, aby napary przygotowywać zgodnie z instrukcją i stosować je jako płukanki kilka razy dziennie. Mogą one przynieść ulgę i wspomóc proces gojenia, ale nie usuną kamienia nazębnego ani nie wyleczą zaawansowanej paradontozy.
Czy płukanki z soli lub wody utlenionej są bezpieczne i skuteczne?
Płukanki z soli i wody utlenionej to popularne domowe metody. Płukanka z soli (roztwór soli fizjologicznej) może działać łagodząco, zmniejszać obrzęk i wspomagać procesy gojenia, a także ma lekkie działanie antyseptyczne. Jest zazwyczaj bezpieczna, jeśli stosuje się ją w umiarkowanym stężeniu. Woda utleniona (nadtlenek wodoru) ma silne właściwości antyseptyczne i może pomóc w zwalczaniu bakterii beztlenowych odpowiedzialnych za zapalenie dziąseł. Ważne jest jednak, aby stosować ją w bardzo rozcieńczonej formie (np. 3% roztwór rozcieńczony wodą w proporcji 1:1) i nie połykać. Nadmierne lub zbyt stężone płukanki z wody utlenionej mogą podrażniać dziąsła i błonę śluzową. Zawsze zalecam ostrożność i konsultację ze stomatologiem przed regularnym stosowaniem tych metod.
Czego unikać, by nie pogorszyć stanu zapalnego?
Aby nie pogorszyć stanu zapalnego dziąseł, warto zwrócić uwagę na kilka aspektów. Przede wszystkim unikaj twardych, ostrych i drażniących pokarmów, które mogą mechanicznie uszkadzać i podrażniać wrażliwe dziąsła. Ogranicz spożycie słodyczy i napojów gazowanych, które sprzyjają rozwojowi bakterii. Bezwzględnie zrezygnuj z palenia papierosów, ponieważ nikotyna i inne substancje chemiczne zawarte w dymie tytoniowym znacząco utrudniają gojenie i pogarszają kondycję dziąseł. Unikaj także nadmiernego spożycia alkoholu. Pamiętaj, że każdy czynnik, który obciąża Twój organizm, może negatywnie wpływać na zdrowie jamy ustnej.
Zapobieganie jest kluczem: Jak utrzymać zdrowe dziąsła na lata?
Moim zdaniem, najlepszym leczeniem jest zapobieganie. Utrzymanie zdrowych dziąseł na lata to inwestycja w Twoje ogólne zdrowie i komfort życia. To nie jest skomplikowane, ale wymaga konsekwencji i świadomości.
Profilaktyka w pigułce: Regularne wizyty, dieta i codzienna pielęgnacja
- Regularne wizyty kontrolne u stomatologa: To absolutna podstawa. Zalecam wizyty co 6-12 miesięcy, nawet jeśli nic Cię nie boli. Stomatolog może wykryć wczesne objawy problemów i przeprowadzić profesjonalne czyszczenie (skaling i piaskowanie), które jest niemożliwe do wykonania w domu.
- Prawidłowa, codzienna higiena jamy ustnej: Dokładne szczotkowanie zębów dwa razy dziennie i codzienne nitkowanie to Twoja tarcza ochronna przed płytką bakteryjną i kamieniem.
- Zbilansowana dieta: Zdrowe odżywianie ma ogromne znaczenie dla odporności organizmu i kondycji dziąseł.
Przeczytaj również: Ropień na dziąśle: Nie przebijaj! Co robić? Poradnik stomatologa.




