Uczulenie na nikiel w ustach jak rozpoznać objawy i skutecznie je leczyć?
- Objawy w jamie ustnej to m.in. pieczenie, metaliczny posmak, obrzęk błony śluzowej, afty i zapalenie dziąseł.
- Głównym źródłem niklu są aparaty ortodontyczne, protezy zębowe oraz korony i mosty na metalowej podbudowie.
- Diagnoza opiera się na naskórkowych testach płatkowych wykonywanych przez alergologa.
- Kluczowe w leczeniu jest usunięcie źródła alergenu i zastąpienie go materiałami bezniklowymi (np. tytan, ceramika).
- Wspomagająco może działać dieta niskoniklowa, zwłaszcza przy ogólnoustrojowej alergii na nikiel (SNAS).
- Alergia na nikiel dotyczy nawet 17-20% dorosłych i jest coraz częściej rozpoznawana w stomatologii.
Dlaczego metal w jamie ustnej staje się wrogiem? Wprowadzenie do problemu
Alergia na nikiel jest jedną z najpowszechniejszych alergii kontaktowych, dotykającą nawet 17-20% dorosłych, przy czym częściej obserwujemy ją u kobiet. W kontekście jamy ustnej bywa to jednak "cichy problem", ponieważ objawy mogą być niespecyficzne i łatwo mylone z innymi schorzeniami. Na szczęście, w ostatnich latach wzrasta świadomość tego zagadnienia zarówno wśród pacjentów, jak i specjalistów, co pozwala na szybszą i trafniejszą diagnozę.Nikiel w stomatologii: Gdzie się ukrywa i dlaczego wciąż jest stosowany?
Nikiel, ze względu na swoje właściwości mechaniczne jest wytrzymały, odporny na korozję i stosunkowo niedrogi od lat znajduje szerokie zastosowanie w stomatologii. Niestety, dla osób uczulonych staje się on źródłem przewlekłego dyskomfortu. Może być obecny w wielu materiałach, z którymi mamy kontakt w jamie ustnej, uwalniając jony metalu i wywołując reakcję alergiczną. Oto najczęstsze materiały stomatologiczne, które mogą zawierać nikiel:- Aparaty ortodontyczne: Metalowe zamki, łuki i pierścienie, często wykonane ze stopów niklowo-tytanowych.
- Protezy szkieletowe: Ich metalowa konstrukcja, zapewniająca stabilność, może zawierać nikiel.
- Korony i mosty: Szczególnie te na podbudowie metalowej, gdzie nikiel jest składnikiem stopu.
- Implanty stomatologiczne: Chociaż najczęściej są tytanowe, niektóre stopy mogą zawierać domieszki niklu.
- Wypełnienia amalgamatowe: Choć rzadziej stosowane, mogą zawierać śladowe ilości niklu.

Jak rozpoznać uczulenie na nikiel? Kluczowe objawy w jamie ustnej
Sygnały alarmowe, których nie wolno ignorować: pieczenie, obrzęk i metaliczny posmak
Kiedy nikiel staje się alergenem w jamie ustnej, pacjenci często zgłaszają bardzo uciążliwe, subiektywne objawy, które trudno zignorować. Najczęściej jest to pieczenie lub swędzenie, które może obejmować całą jamę ustną dziąsła, język, podniebienie. To uczucie jest często przewlekłe i nie ustępuje pomimo stosowania standardowych środków higieny. Innym bardzo charakterystycznym symptomem jest uporczywy metaliczny posmak w ustach, który może być niezwykle irytujący i wpływać na odczuwanie smaku potraw. Niektórzy pacjenci skarżą się również na suchość w ustach, co dodatkowo potęguje dyskomfort. Te sygnały alarmowe, choć niewidoczne na pierwszy rzut oka, są kluczowe w postawieniu wstępnej diagnozy.Widoczne zmiany na błonie śluzowej: zaczerwienienie, afty i zapalenie dziąseł
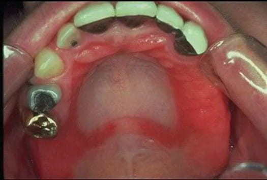
Poza subiektywnymi odczuciami, alergia na nikiel może manifestować się również widocznymi zmianami w jamie ustnej. Podczas badania stomatologicznego możemy zaobserwować:- Zaczerwienienie, obrzęk i bolesność dziąseł, podniebienia, języka lub wewnętrznej strony policzków. Jest to objaw zapalenia błony śluzowej, często mylony z innymi przyczynami.
- Pojawianie się bolesnych nadżerek i aft, które nawracają i trudno się goją, szczególnie w miejscach kontaktu z metalowym elementem.
- Obrzęk warg i języka, który może być na tyle nasilony, że utrudnia mówienie i połykanie.
- Zapalenie kącików ust (zajady), czyli pękanie i stany zapalne w kącikach warg, które są często przewlekłe i oporne na leczenie.
Czy problem dotyczy tylko ust? Objawy towarzyszące na skórze i wargach
Warto pamiętać, że alergia na nikiel nie zawsze ogranicza się wyłącznie do jamy ustnej. U wielu osób, szczególnie tych z silną reakcją alergiczną, może ona manifestować się również poza ustami. Często obserwujemy kontaktowe zapalenie skóry, na przykład na szyi, uszach czy nadgarstkach, w miejscach kontaktu z biżuterią zawierającą nikiel. Wspomniane wcześniej zajady w kącikach ust są doskonałym przykładem objawu łączącego jamę ustną ze skórą. W niektórych przypadkach, szczególnie przy ogólnoustrojowej alergii na nikiel (SNAS), objawy mogą być bardziej rozległe, co podkreśla złożoność tego problemu.Aparat ortodontyczny, proteza, korona: główne źródła niklu w twoich ustach
Uczulenie na aparat ortodontyczny: Kiedy radość z prostych zębów psuje alergia?
Dla wielu pacjentów, zwłaszcza młodych, założenie aparatu ortodontycznego to krok w stronę pięknego uśmiechu. Niestety, metalowe aparaty, a konkretnie ich zamki, łuki i pierścienie, bardzo często wykonane są ze stopów niklowo-tytanowych. Jeśli pacjent ma alergię na nikiel, objawy mogą pojawić się już wkrótce po założeniu aparatu. Obserwuję u moich pacjentów pieczenie, zaczerwienienie dziąseł wokół zamków, a nawet owrzodzenia błony śluzowej. To niezwykle frustrujące, gdy leczenie, które ma przynieść poprawę, staje się źródłem dyskomfortu.Alergia na protezę zębową: Gdy uzupełnienie zamiast pomagać, powoduje dyskomfort
Protezy szkieletowe to popularne rozwiązanie w przypadku braków zębowych. Ich konstrukcja, zapewniająca stabilność i wytrzymałość, często opiera się na metalowych stopach, które mogą zawierać nikiel. U pacjentów z alergią, taka proteza, zamiast poprawiać jakość życia, staje się przyczyną przewlekłego dyskomfortu. Może prowadzić do ciągłego stanu zapalnego błony śluzowej pod protezą, pieczenia, a nawet zmian aftowych, co znacząco utrudnia codzienne funkcjonowanie i sprawia, że uzupełnienie jest źle tolerowane.Korony i implanty a ryzyko alergii: Co warto wiedzieć przed zabiegiem?
Korony i mosty protetyczne, szczególnie te na metalowej podbudowie, również mogą być źródłem niklu. Chociaż współczesna stomatologia coraz częściej stawia na materiały ceramiczne czy cyrkonowe, metalowe podbudowy wciąż są stosowane. W przypadku implantów stomatologicznych, choć dominują tytanowe, które są biokompatybilne, warto wiedzieć, że niektóre stopy tytanu mogą zawierać śladowe domieszki niklu. Dlatego, zanim zdecydujemy się na jakikolwiek zabieg protetyczny czy implantologiczny, kluczowe jest przeprowadzenie dokładnego wywiadu alergologicznego. Pozwala to uniknąć nieprzyjemnych niespodzianek i wybrać najbezpieczniejsze dla pacjenta materiały.

Mam objawy, co dalej? Krok po kroku do trafnej diagnozy
Do kogo się zgłosić? Rola stomatologa, ortodonty i alergologa
Jeśli podejrzewasz u siebie uczulenie na nikiel w jamie ustnej, pierwszym krokiem powinna być wizyta u stomatologa lub ortodonty. To oni, jako pierwsi, mogą zauważyć niepokojące zmiany w jamie ustnej i powiązać je z obecnością metalowych elementów. Po wstępnej ocenie i wykluczeniu innych przyczyn, takich jak infekcje czy niedobory, stomatolog powinien skierować Cię do alergologa lub dermatologa. To właśnie ci specjaliści są odpowiedzialni za postawienie ostatecznej diagnozy alergii na nikiel. Współpraca między tymi dziedzinami medycyny jest kluczowa dla skutecznego rozwiązania problemu.Testy płatkowe: złoty standard w wykrywaniu alergii na nikiel
Podstawową i najskuteczniejszą metodą diagnostyki alergii kontaktowej na nikiel są naskórkowe testy płatkowe (NTP). Wykonuje je alergolog lub dermatolog. Procedura jest prosta i polega na przyklejeniu na skórę pleców specjalnych plastrów, które zawierają niewielką, bezpieczną ilość siarczanu niklu. Plasterki pozostają na skórze przez 48 godzin. Po tym czasie są usuwane, a lekarz dokonuje pierwszego odczytu reakcji. Kolejny, ostateczny odczyt następuje po 72 godzinach od aplikacji. Jeśli w miejscu kontaktu z niklem pojawi się zaczerwienienie, obrzęk, a nawet pęcherzyki, oznacza to pozytywny wynik testu i potwierdzenie alergii.Jakie inne schorzenia należy wykluczyć?
Objawy alergii na nikiel w jamie ustnej mogą być bardzo podobne do symptomów wielu innych schorzeń, co często utrudnia szybką diagnozę. Dlatego tak ważna jest dokładna diagnostyka różnicowa. Stomatolog musi wykluczyć takie problemy jak:- Infekcje grzybicze (np. kandydoza jamy ustnej), które również mogą powodować pieczenie i zaczerwienienie.
- Niedobory witamin (np. witamin z grupy B) lub minerałów (np. żelaza), które prowadzą do zmian na błonie śluzowej i języku.
- Inne reakcje alergiczne, np. na składniki past do zębów, płynów do płukania ust czy pokarmów.
- Choroby autoimmunologiczne, takie jak liszaj płaski.
- Zmiany wynikające z urazów mechanicznych lub podrażnień.
Skuteczne leczenie i życie bez objawów: jakie masz możliwości?
Podstawa terapii: eliminacja źródła alergenu z jamy ustnej
Kiedy diagnoza alergii na nikiel zostanie potwierdzona, najważniejszym i najbardziej efektywnym krokiem w leczeniu jest eliminacja źródła alergenu. W praktyce oznacza to konieczność wymiany wszystkich metalowych elementów w jamie ustnej, które zawierają nikiel. Jeśli problemem jest aparat ortodontyczny, należy go wymienić na model bezniklowy. W przypadku protez szkieletowych czy koron na metalowej podbudowie, konieczna będzie ich zamiana na uzupełnienia wykonane z materiałów biokompatybilnych, niezawierających niklu. Jest to fundamentalna zasada, bez której trudno o trwałą poprawę.Bezpieczne alternatywy w ortodoncji i protetyce: aparaty bezniklowe, tytan, cyrkon
Na szczęście współczesna stomatologia oferuje wiele bezpiecznych alternatyw dla pacjentów z alergią na nikiel. Dzięki nim możliwe jest skuteczne leczenie bez ryzyka reakcji alergicznych.- Aparaty ortodontyczne bezniklowe: Dostępne są zamki, łuki i pierścienie wykonane ze stopów tytanowo-molibdenowych lub innych materiałów, które nie zawierają niklu.
- Tytan: Jest to materiał o doskonałej biokompatybilności, szeroko stosowany w implantologii oraz do budowy protez szkieletowych i podbudów koron.
- Ceramika i cyrkon: Materiały te są w pełni biokompatybilne i estetyczne, idealne do koron, mostów oraz jako elementy aparatów ortodontycznych (zamki ceramiczne).
- Materiały kompozytowe: Wykorzystywane do wypełnień oraz w niektórych rodzajach aparatów ortodontycznych, są również wolne od niklu.
Łagodzenie dolegliwości: leczenie objawowe i domowe sposoby na stany zapalne
Oprócz usunięcia źródła alergenu, ważne jest również łagodzenie istniejących dolegliwości. W tym celu lekarz może zalecić stosowanie miejscowych preparatów przeciwzapalnych i łagodzących, takich jak płukanki ziołowe (np. z szałwii, rumianku) czy żele z chlorheksydyną. W cięższych przypadkach, gdy objawy są bardzo nasilone i uporczywe, lekarz może przepisać leki przeciwhistaminowe lub krótkotrwałą terapię kortykosteroidami, aby szybko opanować stan zapalny. Niezwykle istotna jest również staranna higiena jamy ustnej, która pomaga w utrzymaniu zdrowej błony śluzowej i zmniejsza ryzyko wtórnych infekcji.Czy dieta ma znaczenie? Rola diety niskoniklowej we wspomaganiu leczenia
Zespół ogólnoustrojowej alergii na nikiel (SNAS): gdy uczula Cię jedzenie
Warto wiedzieć, że u osób silnie uczulonych na nikiel, problem może wykraczać poza kontakt bezpośredni z metalem w jamie ustnej. Mówimy wtedy o zespole ogólnoustrojowej alergii na nikiel (SNAS Systemic Nickel Allergy Syndrome). W takich przypadkach nikiel przyjmowany z pokarmem, nawet w niewielkich ilościach, może nasilać objawy, w tym te manifestujące się w jamie ustnej, a także na skórze czy w przewodzie pokarmowym. Zrozumienie tego mechanizmu jest kluczowe dla kompleksowego podejścia do leczenia.Produkty bogate w nikiel: Czego unikać, aby złagodzić objawy?
Jeśli zdiagnozowano u Ciebie SNAS, ograniczenie spożycia produktów bogatych w nikiel może przynieść znaczną ulgę. Oto lista produktów, których należy unikać lub ograniczyć w diecie:- Produkty pełnoziarniste, zwłaszcza owies (płatki owsiane), ale także kasze i pieczywo razowe.
- Rośliny strączkowe, takie jak soja, soczewica, groch, fasola.
- Orzechy, szczególnie orzechy nerkowca, migdały i orzeszki ziemne.
- Kakao i czekolada niestety, to często trudna do zaakceptowania wiadomość dla wielu pacjentów.
- Niektóre warzywa, w tym pomidory, szpinak, cebula, kapusta.
- Ryby i owoce morza, zwłaszcza tuńczyk, śledź.
- Żywność w puszkach, ponieważ nikiel może przenikać z opakowania do produktu.
Przeczytaj również: Soda oczyszczona do płukania ust: Czy to działa? Fakty i mity




