Nowotwory jamy ustnej stanowią poważne zagrożenie, a kluczem do skutecznego leczenia jest ich wczesne wykrycie. Ten artykuł dostarczy Ci rzetelnych, medycznych informacji na temat objawów, które mogą wskazywać na rozwój choroby, pomagając świadomie monitorować swoje zdrowie i szybko reagować na niepokojące sygnały.
Wczesne wykrycie nowotworu jamy ustnej klucz do skutecznego leczenia i ratowania życia.
- Niegojące się owrzodzenia lub ranki (powyżej 2-3 tygodni) to najważniejszy sygnał alarmowy.
- Białe (leukoplakia) i czerwone (erytroplakia) plamy na błonie śluzowej często są bezbolesne, lecz wskazują na ryzyko.
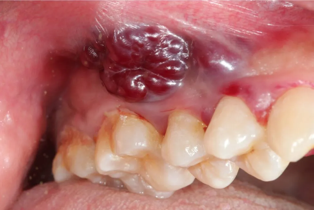
- Guzki, zgrubienia lub narośle na języku, dziąsłach czy policzkach wymagają pilnej konsultacji.
- Uporczywy ból (promieniujący do ucha), trudności w połykaniu czy mówieniu świadczą o zaawansowanym stadium.
- Powiększone, twarde węzły chłonne na szyi to późny, ale poważny objaw.
- Regularne samobadanie i wizyty u stomatologa są kluczowe dla wczesnej diagnostyki.
Dlaczego wczesna wiedza o objawach raka jamy ustnej ratuje życie?
Niepokojące statystyki w Polsce: kogo najczęściej dotyka problem?
Jako specjalista, obserwuję z niepokojem statystyki dotyczące nowotworów jamy ustnej i gardła w Polsce. Stanowią one około 3% wszystkich zachorowań na nowotwory złośliwe, co przekłada się na ponad 3000 nowych przypadków rocznie. Problem ten dotyka głównie mężczyzn po 40. roku życia, co wiążemy z tradycyjnymi czynnikami ryzyka. Jednakże, co jest szczególnie alarmujące, obserwujemy również rosnący odsetek zachorowań u młodszych osób, co w dużej mierze wiąże się z zakażeniem wirusem brodawczaka ludzkiego (HPV). To pokazuje, że nikt nie jest całkowicie bezpieczny, a świadomość jest kluczowa.
Spóźniona diagnoza to wróg numer jeden: rola wczesnego wykrywania
Moje doświadczenie pokazuje, że niska świadomość społeczna na temat objawów nowotworów jamy ustnej jest w Polsce kluczowym problemem. Pacjenci często zgłaszają się do lekarza zbyt późno, gdy choroba jest już w zaawansowanym stadium. To niestety znacząco pogarsza rokowania i ogranicza możliwości skutecznego leczenia. Chcę to podkreślić z całą mocą: wczesne wykrycie jest absolutnie decydujące dla skuteczności terapii i ratowania życia. Im wcześniej zareagujemy na niepokojące sygnały, tym większe mamy szanse na pełne wyleczenie.

Pierwsze sygnały alarmowe: na jakie zmiany w ustach zwrócić uwagę?
Niegojąca się ranka lub owrzodzenie: najważniejszy objaw, którego nie wolno ignorować
Jeśli miałbym wskazać jeden, najważniejszy wczesny objaw nowotworu jamy ustnej, byłoby to niegojące się owrzodzenie lub ranka. Mam na myśli zmianę, która utrzymuje się w jamie ustnej dłużej niż 2-3 tygodnie. Wiele osób myli takie zmiany ze zwykłymi aftami, które są powszechne i zazwyczaj znikają samoistnie w ciągu 10-14 dni. Kluczowa różnica polega na czasie gojenia. Jeśli zauważysz, że jakaś ranka nie chce się zagoić, nie bagatelizuj tego to sygnał alarmowy, który wymaga natychmiastowej konsultacji.
Białe i czerwone plamy (leukoplakia, erytroplakia): cisi zwiastuni problemu
W mojej praktyce często spotykam się z pacjentami, którzy nie zwracają uwagi na białe lub czerwone plamy na błonie śluzowej jamy ustnej, ponieważ często są one bezbolesne. Mówimy tu o leukoplakii (białe plamy) i erytroplakii (czerwone plamy). Te zmiany, choć na pierwszy rzut oka niegroźne, są uważane za zmiany przednowotworowe. Oznacza to, że mają potencjał do przekształcenia się w nowotwór złośliwy. Ich obecność jest sygnałem, że błona śluzowa jest drażniona lub uszkodzona, co wymaga pilnej diagnostyki i monitorowania przez specjalistę.
Guzek, zgrubienie, narośl: na co zwrócić uwagę na języku, dziąsłach i policzkach?
- Na wardze: Zwróć uwagę na wszelkie zgrubienia, stwardnienia lub guzki, które nie znikają.
- Na dziąsłach: Nienaturalne obrzęki, guzki lub zmiany przypominające brodawkę, zwłaszcza jeśli krwawią przy szczotkowaniu.
- Na języku: Zgrubienia, narośle, owrzodzenia, szczególnie na brzegach lub spodzie języka. Zwróć uwagę na ograniczenie ruchomości języka.
- Na wewnętrznej stronie policzka: Jakiekolwiek guzki, stwardnienia lub zmiany w kolorze błony śluzowej, które są wyczuwalne pod palcem.
Dlaczego wczesne zmiany często nie bolą i dlaczego to jest tak niebezpieczne?
Jednym z najbardziej zdradliwych aspektów nowotworów jamy ustnej jest fakt, że we wczesnych stadiach często nie powodują one bólu. To właśnie brak dolegliwości bólowych jest częstą przyczyną opóźnionej diagnostyki. Pacjenci, nie odczuwając bólu, bagatelizują drobne zmiany, takie jak niewielkie owrzodzenia czy plamy, licząc, że „samo przejdzie”. To niezwykle niebezpieczne, ponieważ nowotwór rozwija się w ciszy, a ból pojawia się zazwyczaj dopiero w bardziej zaawansowanych stadiach, kiedy leczenie jest znacznie trudniejsze i mniej skuteczne. Dlatego tak ważne jest, aby nie czekać na ból, ale reagować na każdą niepokojącą zmianę.
Gdy choroba postępuje: objawy zaawansowanego nowotworu jamy ustnej
Ból, który nie mija: kiedy ból gardła czy ucha staje się powodem do niepokoju?
Kiedy choroba postępuje, ból staje się niestety coraz bardziej odczuwalny. Uporczywy ból, który nie mija i często promieniuje do ucha lub gardła, jest objawem zaawansowanego stadium nowotworu. Ważne jest, aby zwrócić uwagę na jego charakter często jest to ból jednostronny, który nie ustępuje pomimo stosowania standardowych środków przeciwbólowych. Taki ból to wyraźny sygnał, że proces chorobowy jest już zaawansowany i wymaga natychmiastowej interwencji medycznej.
Problemy z jedzeniem i mówieniem: trudności w połykaniu i poruszaniu językiem
- Trudności w żuciu i połykaniu (dysfagia): Uczucie, że jedzenie "staje w gardle" lub ból podczas przełykania.
- Uczucie ciała obcego w gardle: Stałe wrażenie obecności czegoś w gardle, które nie ustępuje.
- Ograniczenie ruchomości języka: Trudności w poruszaniu językiem, co wpływa na mówienie i jedzenie.
- Niewyraźna mowa: Zmiana barwy głosu, chrypka lub niewyraźna artykulacja, szczególnie jeśli utrzymuje się dłużej niż kilka tygodni.
Szczękościsk, drętwienie i rozchwiane zęby: objawy neurologiczne i stomatologiczne
W miarę rozwoju nowotworu mogą pojawić się również objawy neurologiczne i stomatologiczne. Szczękościsk, czyli ograniczenie możliwości otwierania ust, może być bardzo uciążliwy i świadczyć o naciekaniu nowotworu na okoliczne tkanki. Drętwienie języka lub wargi, podobnie jak rozchwianie zębów bez widocznej przyczyny stomatologicznej (np. zaawansowanej próchnicy czy choroby przyzębia), to sygnały, które mogą wskazywać na postęp choroby i zajęcie nerwów lub kości. Te objawy są wyraźnym powodem do natychmiastowej konsultacji ze specjalistą.Powiększone węzły chłonne na szyi: co oznaczają twarde, nieprzesuwalne guzki?
Powiększone węzły chłonne na szyi to jeden z późniejszych, ale bardzo poważnych objawów nowotworu jamy ustnej. Jeśli wyczuwasz na szyi twarde, nieprzesuwalne guzki, które nie są bolesne, to niestety może to świadczyć o obecności przerzutów. Węzły chłonne są częścią układu odpornościowego i często są pierwszym miejscem, do którego komórki nowotworowe rozprzestrzeniają się z pierwotnego ogniska. Ich powiększenie jest sygnałem, że choroba jest już w zaawansowanym stadium i wymaga pilnej, kompleksowej diagnostyki i leczenia.

Kto jest w grupie ryzyka? Kluczowe czynniki wpływające na rozwój choroby
Papierosy i alkohol: śmiertelny duet dla Twojej jamy ustnej
Z mojego punktu widzenia, jako specjalisty, nie mogę wystarczająco podkreślić, jak niszczycielskie dla jamy ustnej jest połączenie palenia tytoniu i nadużywania alkoholu. Palenie, niezależnie od formy (papierosy, cygara, fajka, a nawet e-papierosy), wprowadza do organizmu setki substancji rakotwórczych. Alkohol zaś działa jak rozpuszczalnik, ułatwiając tym substancjom penetrację błony śluzowej. Kiedy te dwa czynniki występują razem, ryzyko zachorowania na nowotwór jamy ustnej wzrasta wielokrotnie, tworząc śmiertelny duet dla Twojego zdrowia.
Wirus HPV: cichy winowajca rosnącej liczby zachorowań u młodych osób
W ostatnich latach obserwujemy niepokojący trend wzrostu zachorowań na nowotwory jamy ustnej u osób młodszych, które często nie mają historii palenia czy nadużywania alkoholu. W dużej mierze jest to związane z zakażeniem onkogennymi typami wirusa brodawczaka ludzkiego (HPV), szczególnie typem HPV-16. Wirus ten, przenoszony drogą płciową, może prowadzić do rozwoju nowotworów w obrębie jamy ustnej i gardła. To czynnik ryzyka, o którym musimy mówić głośno, zwłaszcza w kontekście profilaktyki i szczepień.
Przewlekłe drażnienie i zła higiena: jak codzienne nawyki wpływają na ryzyko?
- Niewłaściwa higiena jamy ustnej: Brak regularnego i dokładnego szczotkowania zębów oraz czyszczenia przestrzeni międzyzębowych sprzyja stanom zapalnym, które mogą zwiększać ryzyko.
- Przewlekłe drażnienie błony śluzowej: Źle dopasowane protezy zębowe, ostre krawędzie zębów lub wypełnień, które ciągle ranią błonę śluzową, mogą prowadzić do przewlekłych stanów zapalnych i uszkodzeń komórek.
- Dieta uboga w warzywa i owoce: Brak odpowiedniej ilości witamin i antyoksydantów w diecie osłabia naturalne mechanizmy obronne organizmu.
- Przewlekłe stany zapalne: Nieleczone choroby przyzębia i inne przewlekłe infekcje w jamie ustnej.
Twoja pierwsza linia obrony: jak regularnie badać jamę ustną?
Samobadanie w 5 krokach: prosty przewodnik do wykonania w domu
Zawsze powtarzam moim pacjentom, że regularne samobadanie jamy ustnej to Twoja pierwsza linia obrony. To proste badanie, które możesz wykonać w domu w zaledwie kilka minut. Oto jak to zrobić:
- Krok 1: Obejrzyj wargi. Stań przed lustrem w dobrze oświetlonym pomieszczeniu. Obejrzyj wargi z zewnątrz i od wewnątrz, odciągając je. Szukaj wszelkich zmian w kolorze, owrzodzeń, guzków czy zgrubień.
- Krok 2: Sprawdź policzki. Odciągnij policzki i dokładnie obejrzyj błonę śluzową. Zwróć uwagę na białe, czerwone plamy, owrzodzenia lub guzki. Dotknij policzków, aby wyczuć ewentualne zgrubienia.
- Krok 3: Zbadaj język. Wysuń język i obejrzyj go dokładnie z każdej strony górę, boki i spód. Użyj gazika, aby delikatnie chwycić język i przesunąć go na boki, aby lepiej widzieć jego brzegi i spód. Szukaj wszelkich zmian w kolorze, owrzodzeń, guzków.
- Krok 4: Skontroluj podniebienie i dno jamy ustnej. Odchyl głowę do tyłu i otwórz szeroko usta, aby obejrzeć podniebienie. Następnie unieś język do góry, aby dokładnie obejrzeć dno jamy ustnej i okolice podjęzykowe. Szukaj wszelkich nietypowych zmian.
- Krok 5: Obejrzyj dziąsła. Dokładnie obejrzyj dziąsła wokół zębów, zarówno od strony policzków, jak i podniebienia/języka. Zwróć uwagę na obrzęki, zaczerwienienia, zmiany koloru czy krwawienia.
Pamiętaj, aby powtarzać to samobadanie regularnie, najlepiej raz w miesiącu.
Rola Twojego dentysty: dlaczego rutynowy przegląd może uratować Ci życie?
Mimo że samobadanie jest niezwykle ważne, nie zastąpi ono profesjonalnej oceny stomatologa. Twój dentysta, podczas rutynowego przeglądu, jest często pierwszą osobą, która może zauważyć niepokojące zmiany w jamie ustnej. Dzięki swojej wiedzy i doświadczeniu, jest w stanie dostrzec subtelne sygnały, które dla Ciebie mogą być niewidoczne lub wydawać się nieistotne. Regularne wizyty u stomatologa przynajmniej raz do roku, a najlepiej co sześć miesięcy to nie tylko dbanie o zdrowe zęby, ale przede wszystkim o wczesne wykrycie potencjalnie śmiertelnych chorób. To inwestycja w Twoje życie.Zauważyłem niepokojący objaw: co robić i gdzie szukać pomocy?
Od lekarza rodzinnego po chirurga szczękowego: ścieżka diagnostyczna pacjenta
Jeśli zauważysz u siebie którykolwiek z niepokojących objawów, nie panikuj, ale działaj szybko. Oto zalecana ścieżka diagnostyczna:
- Pierwszy krok: Stomatolog lub lekarz rodzinny. Zgłoś się do swojego dentysty lub lekarza rodzinnego. Opisz dokładnie swoje objawy i od kiedy je zauważyłeś. Oni przeprowadzą wstępne badanie i ocenią sytuację.
- Kolejny krok: Skierowanie do specjalisty. Jeśli lekarz rodzinny lub stomatolog uzna, że zmiany są podejrzane, skieruje Cię do odpowiedniego specjalisty. Najczęściej będzie to laryngolog (specjalista od chorób ucha, nosa, gardła i krtani) lub chirurg szczękowo-twarzowy.
- Dalsza diagnostyka: Specjalista przeprowadzi szczegółowe badanie, które może obejmować biopsję (pobranie wycinka tkanki do badania histopatologicznego), badania obrazowe (USG, tomografia komputerowa, rezonans magnetyczny) w celu oceny rozległości zmian.
Przeczytaj również: Jak leczyć zapalenie jamy ustnej u dziecka? Poradnik dla rodziców
Dlaczego nie warto czekać, aż "samo przejdzie"? Czas jest kluczowy
Jako ekspert w dziedzinie medycyny, mogę tylko powtórzyć: nie warto czekać, aż "samo przejdzie". To najgorsza możliwa strategia w przypadku podejrzenia nowotworu. Nawet jeśli objawy wydają się niegroźne lub, co gorsza, są bezbolesne, każda zwłoka działa na Twoją niekorzyść. Czas jest absolutnie kluczowy w diagnostyce i leczeniu nowotworów. Wczesna interwencja medyczna znacząco, wręcz drastycznie, zwiększa szanse na skuteczne wyleczenie i powrót do zdrowia. Pamiętaj, że Twoje zdrowie jest w Twoich rękach reaguj na sygnały swojego ciała.




