
Poznaj wczesne objawy nowotworu jamy ustnej i dowiedz się, jak rozpoznać niepokojące zmiany. Sprawdź, kiedy reagować i gdzie szukać pomocy.
Jestem Aleksander Baranowski, specjalista w dziedzinie zdrowia z ponad dziesięcioletnim doświadczeniem w pracy w sektorze medycznym. Ukończyłem studia na kierunku zdrowie publiczne oraz posiadam liczne certyfikaty dotyczące profilaktyki zdrowotnej i promocji zdrowia. Moja wiedza obejmuje zarówno aspekty teoretyczne, jak i praktyczne, co pozwala mi na rzetelne podejście do tematów związanych ze zdrowiem. Moim głównym obszarem zainteresowań jest edukacja zdrowotna, w szczególności w zakresie profilaktyki chorób oraz zdrowego stylu życia. Wierzę, że kluczem do zdrowia jest nie tylko dostęp do informacji, ale także umiejętność ich praktycznego zastosowania w codziennym życiu. Staram się dostarczać treści, które są nie tylko fachowe, ale również przystępne i zrozumiałe dla każdego. Pisząc dla dentag.pl, moim celem jest inspirowanie czytelników do podejmowania świadomych decyzji zdrowotnych. Dążę do tego, aby moje artykuły były źródłem wiarygodnych informacji, które pomogą w poprawie jakości życia. Zawsze stawiam na rzetelność i aktualność danych, co sprawia, że jestem zaufanym źródłem wiedzy w dziedzinie zdrowia.

Poznaj wczesne objawy nowotworu jamy ustnej i dowiedz się, jak rozpoznać niepokojące zmiany. Sprawdź, kiedy reagować i gdzie szukać pomocy.

Przeszczep dziąsła czy warto? Poznaj wskazania, przebieg, koszty i trwałe efekty zabiegu. Dowiedz się, jak chronić zęby i odzyskać zdrowy uśmiech.

Zastanawiasz się, jak wygląda ząb na sztyfcie? Odkryj budowę, materiały (włókno szklane, cyrkon), koszty i porównanie z implantem. Poznaj szczegóły!

Afty na dziąsłach: dowiedz się, jak rozpoznać typowe objawy i wygląd. Odróżnij je od opryszczki, poznaj przyczyny i sprawdzone sposoby na ulgę.

Pierwsza wizyta u dentysty dziecka: kiedy i dlaczego jest kluczowa? Dowiedz się, jak przygotować malucha, co sprawdzi dentysta i czy wizyta jest na NFZ.

Rozpoznaj objawy zapalenia zęba: ból, opuchlizna, nadwrażliwość. Dowiedz się, co robić, by uniknąć powikłań i kiedy pilnie udać się do dentysty.

Zastanawiasz się, ile trwa zakładanie aparatu ortodontycznego? Sprawdź szczegółowy proces, czas montażu na 1 i 2 łuki oraz jak się przygotować.

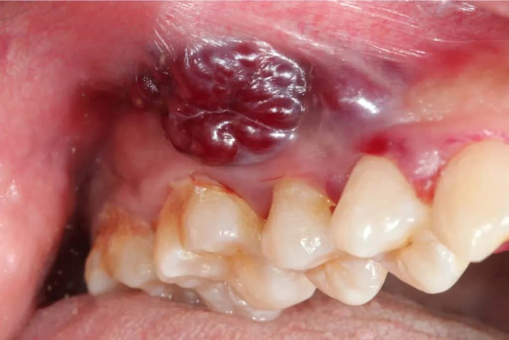
Rak jamy ustnej: Naucz się rozpoznawać wczesne objawy. Odróżnij niepokojące zmiany od aft i dowiedz się, co robić, by ratować zdrowie. Sprawdź!

Czy aparat na zęby boli? Rozwiewamy obawy! Dowiedz się, co czeka Cię po założeniu, jak radzić sobie z dyskomfortem i czy zdejmowanie boli. Sprawdź porady eksperta.

Jak wybrać szczoteczkę soniczną dla dziecka? Poznaj kluczowe cechy, wiek, bezpieczeństwo i polecane modele. Znajdź idealną dla zdrowego uśmiechu!