
Ból i afty w ustach? Poznaj objawy zapalenia jamy ustnej i leczenie
Masz ból, afty lub nalot w ustach? Poznaj szczegółowe objawy zapalenia jamy ustnej, jego przyczyny, rodzaje i dowiedz się, kiedy iść do lekarza. Sprawdź!

Masz ból, afty lub nalot w ustach? Poznaj szczegółowe objawy zapalenia jamy ustnej, jego przyczyny, rodzaje i dowiedz się, kiedy iść do lekarza. Sprawdź!

Kiedy wychodzą zęby? Nasz przewodnik o ząbkowaniu: kalendarz, objawy, bezpieczne metody łagodzenia bólu i porady eksperta. Uspokój się i pomóż dziecku!

Zakładanie aparatu ortodontycznego: bezbolesny proces krok po kroku. Poznaj przygotowania, przebieg wizyty i zasady higieny. Sprawdź!

Ile zarabia dentysta w Polsce? Sprawdź, jak doświadczenie, specjalizacja i lokalizacja wpływają na zarobki. Poznaj realia publicznych i prywatnych gabinetów.

Jak wybielić zęby bezpiecznie i skutecznie? Poznaj profesjonalne metody i domowe sposoby. Sprawdź, co działa, a czego unikać!

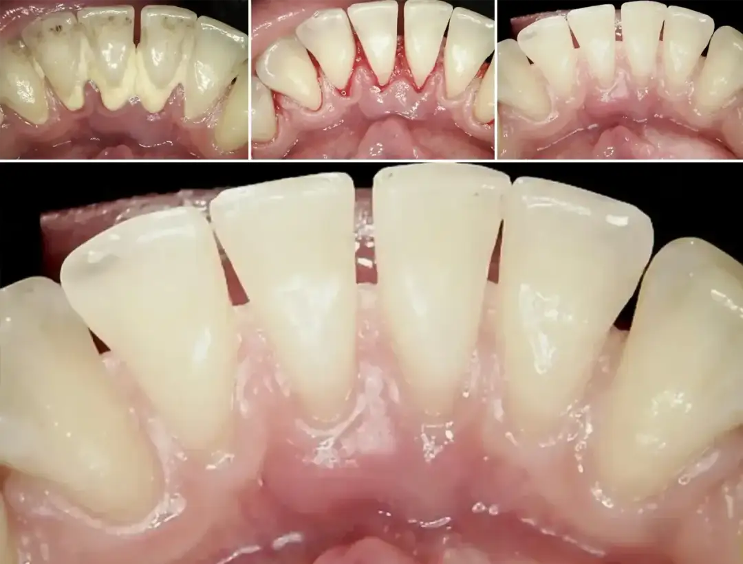
Ulga na ból dziąsła: domowe metody, leki bez recepty i sygnały alarmowe. Zrozum przyczyny i dowiedz się, jak skutecznie dbać o dziąsła.

Masz problem z resztkami kleju do protez na dziąsłach? Odkryj proste i bezpieczne metody usuwania krok po kroku. Poznaj triki i unikaj błędów! Sprawdź poradnik.

Ile zarabia dentysta prywatnie w Polsce? Sprawdź realne zarobki, wpływ specjalizacji, lokalizacji i doświadczenia. Poznaj ukryte koszty i co obniża dochód netto.

Zapalenie dziąseł: Ile trwa leczenie i co wpływa na czas gojenia? Poznaj objawy, skuteczne metody i kiedy iść do dentysty, by uniknąć paradontozy.

Spuchnięte dziąsło? Odkryj domowe sposoby na szybką ulgę, poznaj przyczyny i dowiedz się, kiedy pilnie udać się do dentysty. Twój przewodnik po zdrowych dziąsłach.