
Co jeść po dentyście? Sprawdź, jak postępować po plombie, wyrwaniu zęba czy leczeniu kanałowym. Uniknij bólu i powikłań!
Jestem Aleksander Baranowski, specjalista w dziedzinie zdrowia z ponad dziesięcioletnim doświadczeniem w pracy w sektorze medycznym. Ukończyłem studia na kierunku zdrowie publiczne oraz posiadam liczne certyfikaty dotyczące profilaktyki zdrowotnej i promocji zdrowia. Moja wiedza obejmuje zarówno aspekty teoretyczne, jak i praktyczne, co pozwala mi na rzetelne podejście do tematów związanych ze zdrowiem. Moim głównym obszarem zainteresowań jest edukacja zdrowotna, w szczególności w zakresie profilaktyki chorób oraz zdrowego stylu życia. Wierzę, że kluczem do zdrowia jest nie tylko dostęp do informacji, ale także umiejętność ich praktycznego zastosowania w codziennym życiu. Staram się dostarczać treści, które są nie tylko fachowe, ale również przystępne i zrozumiałe dla każdego. Pisząc dla dentag.pl, moim celem jest inspirowanie czytelników do podejmowania świadomych decyzji zdrowotnych. Dążę do tego, aby moje artykuły były źródłem wiarygodnych informacji, które pomogą w poprawie jakości życia. Zawsze stawiam na rzetelność i aktualność danych, co sprawia, że jestem zaufanym źródłem wiedzy w dziedzinie zdrowia.

Co jeść po dentyście? Sprawdź, jak postępować po plombie, wyrwaniu zęba czy leczeniu kanałowym. Uniknij bólu i powikłań!

Ekspert radzi: jak często myć zęby szczoteczką soniczną? Odkryj optymalną częstotliwość, czas i technikę dla zdrowego uśmiechu.

Ropień zęba? Dowiedz się, jak bezpiecznie złagodzić ból w domu i poznaj skuteczne metody leczenia u dentysty. Uniknij groźnych powikłań!

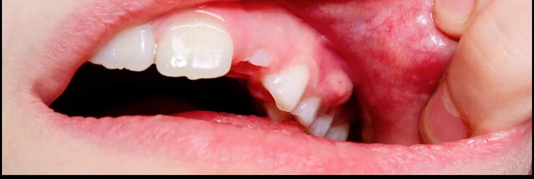
Sprawdź, ile trwa gojenie dziąsła po zabiegu i jak je przyspieszyć. Poznaj etapy regeneracji, dietę i unikaj suchego zębodołu. Czytaj nasz poradnik!

Zrozum, jak długo utrzymuje się znieczulenie u dentysty. Poznaj rodzaje, czynniki wpływające na jego czas i wskazówki, jak dbać o siebie po zabiegu.

Kiedy aparat na zęby jest konieczny? Rozpoznaj objawy wad zgryzu, dowiedz się o konsekwencjach i przygotowaniu do leczenia. Sprawdź, kiedy warto działać!

Boli dziąsło? Poznaj skuteczne domowe sposoby na ulgę, najczęstsze przyczyny i sygnały alarmowe wymagające wizyty u dentysty. Sprawdź, jak zapobiegać.

Ząbkowanie u niemowląt: poznaj objawy, wygląd dziąseł i skuteczne metody ulgi. Dowiedz się, kiedy szukać pomocy. Sprawdź nasz poradnik!

Poznaj przyczyny aft w jamie ustnej: od urazów po niedobory i choroby. Sprawdź, jak rozpoznać typ afty, kiedy iść do lekarza oraz jak skutecznie zapobiegać nawrotom.

Co na zapalenie dziąseł? Poznaj skuteczne domowe sposoby, apteczne preparaty i porady stomatologa na ból, krwawienie i obrzęk. Sprawdź nasz poradnik!