Wielu pacjentów, przygotowując się do wizyty u stomatologa, zastanawia się, ile czasu zajmie plombowanie zęba. To naturalne, że chcemy wiedzieć, co nas czeka. W tym artykule szczegółowo odpowiem na pytania dotyczące szacunkowego czasu trwania tego zabiegu, czynników wpływających na jego długość oraz przedstawię krok po kroku, jak wygląda cała procedura, aby zredukować wszelkie niepewności przed wizytą.
Plombowanie zęba trwa zazwyczaj 20-60 minut poznaj czynniki wpływające na czas wizyty.
- Standardowe plombowanie jednego zęba z niewielkim ubytkiem trwa od 20 do 60 minut, ale czas ten może się wydłużyć w bardziej skomplikowanych przypadkach.
- Na długość zabiegu wpływają takie czynniki jak wielkość i głębokość ubytku, lokalizacja zęba, rodzaj wybranego wypełnienia oraz konieczność podania znieczulenia.
- Podanie znieczulenia wymaga doliczenia około 5-10 minut na jego pełne zadziałanie.
- Procedura plombowania obejmuje diagnostykę, usunięcie próchnicy, warstwową aplikację materiału kompozytowego, jego utwardzanie lampą oraz końcowe dopasowanie i polerowanie.
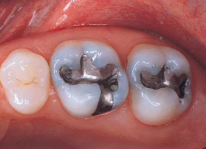
- Wypełnienia kompozytowe (białe) są najpopularniejsze i wymagają więcej czasu ze względu na precyzyjną, warstwową aplikację.
- Wypełnienia amalgamatowe są obecnie wycofywane z użycia w Polsce, zwłaszcza u dzieci i kobiet w ciąży.

Kiedy siadasz na fotelu stomatologicznym, jedną z pierwszych myśli, jakie mogą się pojawić, jest: "Ile to potrwa?". Czas plombowania zęba jest zmienny i zależy od wielu czynników, które omówię poniżej. Z mojego doświadczenia wynika, że standardowe plombowanie jednego zęba z niewielkim lub średnim ubytkiem próchnicowym trwa zazwyczaj od 20 do 60 minut. Jednak w bardziej skomplikowanych sytuacjach ten czas może się wydłużyć. Przyjrzyjmy się bliżej, co dokładnie wpływa na długość wizyty.
Głębokość ubytku kluczowy czynnik wpływający na długość wizyty
Jednym z najważniejszych czynników decydujących o czasie trwania zabiegu jest wielkość i głębokość ubytku. Małe, płytkie ubytki wymagają znacznie mniej czasu na oczyszczenie i wypełnienie. Praca jest wtedy szybka i precyzyjna. Natomiast w przypadku głębokich ubytków, które sięgają blisko miazgi zęba, konieczne jest zachowanie większej precyzji i ostrożności. Czasem musimy zastosować specjalne podkłady ochronne, co oczywiście wydłuża całą procedurę. To kluczowe, aby zapewnić zębowi odpowiednią ochronę i trwałość wypełnienia.
Ząb przedni czy trzonowy? Jak lokalizacja zmienia czas pracy stomatologa
Lokalizacja zęba również ma duże znaczenie. Plombowanie zębów trzonowych, czyli tych z tyłu jamy ustnej, jest często bardziej czasochłonne niż przednich. Dlaczego? Głównie ze względu na gorszy dostęp i ograniczoną widoczność. Praca w tylnych partiach wymaga często użycia lusterka, co zwiększa precyzję, ale jednocześnie wydłuża czas potrzebny na wykonanie wszystkich etapów zabiegu.
Czy potrzebujesz znieczulenia? Jak wpływa ono na harmonogram wizyty
Decyzja o podaniu znieczulenia ma bezpośredni wpływ na całkowity czas wizyty. Samo podanie środka znieczulającego to zaledwie kilka minut. Jednak musimy doliczyć czas oczekiwania na jego pełne zadziałanie, co zwykle trwa od 5 do 10 minut. Ten krótki okres jest absolutnie niezbędny, aby zabieg był dla Ciebie komfortowy i bezbolesny. Znieczulenie to inwestycja w Twój spokój i dobre samopoczucie na fotelu.
Rodzaj wybranej plomby a czas spędzony na fotelu
Rodzaj wypełnienia, które wybieramy, również wpływa na długość zabiegu. Najpopularniejsze obecnie w Polsce wypełnienia światłoutwardzalne, czyli kompozytowe, wymagają specyficznej techniki aplikacji. Materiał nakładany jest warstwami, a każda z nich musi być utwardzona specjalną lampą polimeryzacyjną. Ten proces, choć precyzyjny i gwarantujący estetyczny efekt, jest bardziej czasochłonny niż np. historyczne zakładanie plomb amalgamatowych. Wypełnienia glassjonomerowe, choć szybsze w aplikacji, mają inne zastosowania i nie zawsze są odpowiednie.
Zrozumienie poszczególnych etapów plombowania może znacząco pomóc zredukować lęk i niepewność przed wizytą u stomatologa. Chciałbym przedstawić Ci, jak krok po kroku wygląda ten proces, abyś wiedział, czego możesz się spodziewać. To standardowa procedura, którą wykonuję z najwyższą starannością.
-
Krok 1: Diagnostyka i przygotowanie od czego zaczyna lekarz?
Zaczynamy od dokładnej diagnostyki. Oceniam stan zęba, często wspierając się zdjęciem rentgenowskim, aby precyzyjnie określić wielkość i głębokość ubytku. Następnie, jeśli to konieczne lub jeśli sobie tego życzysz, podaję znieczulenie miejscowe. Kluczowym elementem jest również izolacja zęba za pomocą koferdamu specjalnej gumy, która odgradza ząb od śliny i zapewnia suche pole zabiegowe, co jest niezbędne dla trwałości i szczelności wypełnienia.
-
Krok 2: Precyzyjne oczyszczenie zęba z próchnicy
To jeden z najważniejszych etapów. Za pomocą precyzyjnego wiertła usuwam wszystkie zainfekowane tkanki próchnicowe. Moim celem jest całkowite pozbycie się bakterii i chorej tkanki, aby zapobiec dalszemu rozwojowi próchnicy pod nowym wypełnieniem. To gwarancja długotrwałego efektu leczenia.
-
Krok 3: Aplikacja i modelowanie wypełnienia sztuka odbudowy zęba
Po oczyszczeniu zęba przygotowuję go do przyjęcia wypełnienia. Obejmuje to wytrawienie szkliwa i nałożenie specjalnego systemu wiążącego, zwanego bondem, który zapewnia szczelność i doskonałą przyczepność plomby. Następnie, materiał kompozytowy jest nakładany warstwami. To prawdziwa sztuka, ponieważ muszę odbudować anatomiczny kształt zęba, odtwarzając jego naturalne guzki i bruzdy, aby idealnie pasował do zgryzu.
-
Krok 4: Naświetlanie i polerowanie ostatnie szlify dla idealnego efektu
Każda nałożona warstwa materiału kompozytowego jest utwardzana specjalną lampą polimeryzacyjną. To sprawia, że plomba staje się twarda i trwała. Na koniec, po utwardzeniu wszystkich warstw, dopasowuję wypełnienie do prawidłowego zgryzu, a następnie je wygładzam i poleruję. Dzięki temu plomba jest nie tylko funkcjonalna, ale także estetyczna i komfortowa, nie powodując żadnych przeszkód podczas jedzenia czy mówienia.
Wybór rodzaju wypełnienia ma wpływ nie tylko na estetykę i trwałość, ale także, jak już wspomniałem, na czas trwania zabiegu. Warto poznać różnice między nimi, aby lepiej zrozumieć, dlaczego niektóre rozwiązania są rekomendowane w konkretnych przypadkach.
Plomba kompozytowa (biała): Dlaczego wymaga więcej czasu, ale jest tego warta?
Wypełnienia kompozytowe, potocznie nazywane "białymi plombami", są obecnie najpopularniejszym wyborem w Polsce i stanowią standard w nowoczesnej stomatologii estetycznej. Ich aplikacja jest bardziej czasochłonna, ponieważ materiał nakładany jest warstwami, a każda z nich musi być utwardzona światłem lampy polimeryzacyjnej. Jednak ten proces jest tego warty! Plomby kompozytowe pozwalają na precyzyjne dopasowanie koloru do naturalnego odcienia zęba, dzięki czemu są praktycznie niewidoczne. Są również bardzo trwałe i estetyczne, doskonale imitując naturalną tkankę zęba.
Wypełnienia glassjonomerowe: Kiedy stosuje się szybsze rozwiązania?
Wypełnienia glassjonomerowe są szybsze w aplikacji niż kompozytowe, ale mają specyficzne zastosowania. Często wykorzystujemy je u dzieci, ze względu na ich właściwości uwalniania fluoru, co dodatkowo wzmacnia ząb. Stosujemy je również jako podkłady pod wypełnienia kompozytowe, a także w miejscach, gdzie obciążenie zgryzowe jest mniejsze. Choć nie są tak estetyczne i trwałe jak kompozyty w miejscach narażonych na duże siły żucia, to w odpowiednich sytuacjach stanowią skuteczne i szybkie rozwiązanie.
Co z amalgamatem? Czy "srebrne plomby" to już przeszłość?
Wypełnienia amalgamatowe, czyli popularne "srebrne plomby", to już w dużej mierze przeszłość w polskiej stomatologii. Zgodnie z regulacjami Unii Europejskiej, ich stosowanie jest stopniowo wycofywane, szczególnie w leczeniu zębów mlecznych, u dzieci poniżej 15. roku życia oraz u kobiet w ciąży i karmiących. Chociaż historycznie ich zakładanie było szybsze, obecnie są one zastępowane przez nowocześniejsze, bezpieczniejsze i przede wszystkim estetyczniejsze materiały, takie jak kompozyty. Dążymy do tego, aby Twoje zęby były nie tylko zdrowe, ale i piękne.
Jednym z najczęstszych pytań, jakie słyszę od pacjentów, jest: "Czy plombowanie boli?". Chcę Cię zapewnić, że dzięki nowoczesnemu znieczuleniu miejscowemu, zabieg plombowania zęba jest zazwyczaj całkowicie bezbolesny. Ewentualny dyskomfort jest minimalny i szybko mija.
Jak działa znieczulenie i kiedy jest absolutnie konieczne?
Znieczulenie miejscowe działa poprzez czasowe zablokowanie przewodnictwa nerwowego w okolicy leczonego zęba. Oznacza to, że choć możesz czuć dotyk czy nacisk, nie odczuwasz bólu. Znieczulenie jest absolutnie zalecane, a często wręcz konieczne, w przypadku głębokich ubytków, kiedy próchnica jest blisko miazgi zęba. Jest również nieocenione dla pacjentów, którzy mają niską tolerancję na ból lub odczuwają silny lęk przed wizytą. Moim priorytetem jest Twój komfort i spokój podczas zabiegu.
Ile trzeba czekać, aż znieczulenie zacznie działać?
Po podaniu znieczulenia miejscowego należy odczekać zazwyczaj od 5 do 10 minut, zanim zacznie ono działać w pełni. Ten czas jest wliczony w całkowity czas wizyty i jest absolutnie niezbędny, aby zapewnić bezbolesny przebieg zabiegu. Nie rozpoczynam pracy, dopóki nie upewnię się, że znieczulenie działa efektywnie i że czujesz się komfortowo.
Po zakończeniu plombowania, właściwa pielęgnacja nowej plomby jest kluczowa dla jej trwałości i Twojego komfortu. Chcę, abyś wiedział, jak dbać o ząb po zabiegu, aby służył Ci przez długie lata.
Kiedy można jeść i pić po założeniu wypełnienia?
Jeśli zastosowano wypełnienie kompozytowe (białe), które jest utwardzane światłem, możesz jeść i pić praktycznie od razu po wyjściu z gabinetu. Materiał jest twardy i w pełni funkcjonalny. Pamiętaj jednak, że jeśli podano Ci znieczulenie, powinieneś poczekać, aż całkowicie ustąpi jego działanie. Jedzenie lub picie, gdy Twoja warga lub język są jeszcze zdrętwiałe, może prowadzić do nieświadomego przygryzienia i zranienia tkanek miękkich.
Przeczytaj również: Bonding zębów: Jak działa, ile kosztuje i czy to dla Ciebie?
Jak dbać o zaplombowany ząb, aby służył Ci przez lata?
- Regularna higiena: Szczotkuj zęby co najmniej dwa razy dziennie, używając pasty z fluorem.
- Nić dentystyczna/irygator: Codziennie używaj nici dentystycznej lub irygatora, aby usuwać resztki jedzenia i płytkę bakteryjną z przestrzeni międzyzębowych.
- Unikaj nadmiernych obciążeń: Staraj się nie gryźć twardych przedmiotów (np. lodu, orzechów w skorupkach) bezpośrednio na zaplombowanym zębie, aby nie uszkodzić wypełnienia.
- Regularne wizyty kontrolne: Odwiedzaj stomatologa co najmniej raz na 6-12 miesięcy, aby sprawdzić stan wypełnienia i ogólny stan jamy ustnej.
- Profesjonalne czyszczenie: Regularne usuwanie kamienia nazębnego i osadów (skaling i piaskowanie) pomoże utrzymać zdrowie zębów i dziąseł, a także przedłuży żywotność plomby.




