Wczesne objawy raka jamy ustnej rozpoznaj niepokojące zmiany i działaj szybko.
- Niegojące się owrzodzenia, białe (leukoplakia) lub czerwone (erytroplakia) plamy to kluczowe wizualne sygnały alarmowe.
- Guzki, zgrubienia lub obrzęki w obrębie warg, dziąseł, języka czy policzków również wymagają uwagi.
- Inne objawy to przewlekły ból, drętwienie, problemy z połykaniem, chrypka czy niespodziewane rozchwianie zębów.
- Główne czynniki ryzyka to palenie tytoniu, nadużywanie alkoholu oraz zakażenie wirusem HPV.
- Jeśli jakakolwiek niepokojąca zmiana utrzymuje się ponad 2 tygodnie, konieczna jest pilna wizyta u stomatologa lub laryngologa.
- Wczesne wykrycie choroby w początkowym stadium znacząco zwiększa szanse na wyleczenie (80-90%).

Jak rozpoznać niepokojące zmiany w jamie ustnej
Czerwone i białe plamy, których nie da się usunąć: czym jest leukoplakia i erytroplakia?
Kiedy mówimy o wczesnych objawach raka jamy ustnej, często zwracamy uwagę na zmiany w kolorze błony śluzowej. Leukoplakia to biała plama, której nie da się zetrzeć z powierzchni, na przykład języka, policzka czy dna jamy ustnej. Może mieć różną fakturę od gładkiej po szorstką i zgrubiałą. Choć nie każda leukoplakia jest złośliwa, ryzyko jej transformacji w raka wynosi od 3% do 17,5%. Zawsze należy ją traktować jako sygnał alarmowy.
Z kolei erytroplakia to czerwona plama, również niemożliwa do usunięcia. Jest znacznie rzadsza niż leukoplakia, ale ma znacznie wyższe ryzyko zezłośliwienia. Czerwony kolor wynika z większego unaczynienia i stanu zapalnego, co często świadczy o bardziej zaawansowanych zmianach komórkowych. Obie te zmiany są kluczowymi stanami przedrakowymi i wymagają natychmiastowej konsultacji ze specjalistą.
Niegojące się ranki i owrzodzenia: kiedy prosta afta powinna wzbudzić czujność?
Wszyscy znamy uczucie dyskomfortu związanego z aftami czy drobnymi rankami w ustach. Zazwyczaj goją się one samoistnie w ciągu kilku dni. Jednakże, jeśli zauważysz owrzodzenie, które utrzymuje się powyżej 2-3 tygodni i nie wykazuje tendencji do gojenia, to jest to jeden z najważniejszych sygnałów alarmowych. Takie niegojące się zmiany, często bezbolesne na początkowym etapie, mogą być pierwszym objawem nowotworu. Moje doświadczenie pokazuje, że to właśnie lekceważenie takich "drobnych" ranek jest przyczyną późnych diagnoz.
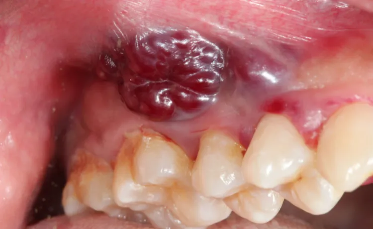
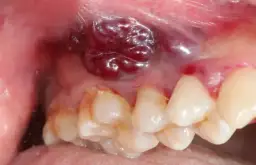
Guzki, zgrubienia i opuchlizna: na co zwrócić uwagę podczas dotyku?
Rak jamy ustnej może objawiać się również jako guzek, zgrubienie lub obrzęk, który pojawia się w nietypowym miejscu na wardze, dziąśle, języku, a nawet wewnątrz policzka. Często te zmiany są wyczuwalne dotykiem, a co ważne, mogą być początkowo całkowicie bezbolesne. Właśnie dlatego tak istotne jest regularne samobadanie i zwracanie uwagi na wszelkie nowe struktury, które pojawiają się w jamie ustnej. Niekiedy to właśnie dotyk pozwala wykryć zmiany, zanim staną się widoczne gołym okiem.
Zmiany w kolorze i fakturze błony śluzowej: subtelne sygnały, których nie wolno ignorować
Oprócz wyraźnych białych czy czerwonych plam, nowotwór jamy ustnej może manifestować się również przez bardziej subtelne zmiany. Może to być miejscowe zblednięcie, zaczerwienienie, a nawet ciemniejsze przebarwienie błony śluzowej, które różni się od otaczających tkanek. Zwróć uwagę na wszelkie obszary, które wydają się bardziej szorstkie, twarde lub mają zmienioną fakturę w porównaniu do reszty jamy ustnej. Te, pozornie niegroźne, sygnały mogą być wczesnym ostrzeżeniem, którego nie wolno lekceważyć.
Inne objawy raka jamy ustnej, których nie widać gołym okiem
Ból, który nie mija w ustach, gardle, a nawet promieniujący do ucha
Przewlekły ból, który nie ustępuje, jest zawsze powodem do niepokoju. Jeśli odczuwasz ciągły ból w jamie ustnej lub gardle, który nie jest związany z żadną oczywistą przyczyną (np. zepsutym zębem czy anginą) i utrzymuje się przez dłuższy czas, powinieneś skonsultować się ze specjalistą. Szczególnie alarmujący jest ból, który promieniuje do ucha, ponieważ może to wskazywać na zaawansowanie procesu nowotworowego i ucisk na pobliskie nerwy. Nie ignoruj tego sygnału.
Uczucie drętwienia wargi lub języka: czym jest i dlaczego to ważny sygnał?
Drętwienie, mrowienie lub utrata czucia w obrębie języka lub wargi, znane medycznie jako objaw Vincenta, to bardzo ważny sygnał neurologiczny. Może on świadczyć o tym, że nowotwór nacieka na nerwy czuciowe. Jeśli zauważysz u siebie takie objawy, zwłaszcza bez wyraźnej przyczyny (np. urazu), niezwłocznie skonsultuj się z lekarzem. To nie jest objaw, który można bagatelizować, ponieważ często wskazuje na bardziej zaawansowane stadium choroby.Problemy z połykaniem, żuciem i mową: alarmujące trudności w codziennym funkcjonowaniu
Trudności w codziennych czynnościach, takich jak połykanie (dysfagia), żucie pokarmów czy wyraźne mówienie, mogą być objawami raka jamy ustnej, szczególnie gdy nowotwór jest zlokalizowany w tylnej części jamy ustnej, gardle lub na języku. Jeśli zauważysz, że musisz wkładać więcej wysiłku w przeżuwanie jedzenia, odczuwasz ból podczas połykania lub Twoja mowa stała się niewyraźna, nie zwlekaj z wizytą u lekarza. Te objawy mogą znacząco wpływać na jakość życia i są sygnałem, że coś jest nie w porządku.
Przewlekła chrypka, zmiana głosu i uczucie "guli w gardle"
Przewlekła chrypka, która utrzymuje się przez dłuższy czas bez wyraźnej przyczyny (np. infekcji), zmiana barwy głosu, a także uporczywe uczucie "guli w gardle" mogą być objawami raka jamy ustnej lub gardła. Nowotwór zlokalizowany w tych rejonach może wpływać na struny głosowe lub powodować ucisk, dając wrażenie przeszkody. Jeśli te objawy utrzymują się, konieczna jest konsultacja z laryngologiem.
Niespodziewane ruszanie się zębów lub proteza, która przestała pasować
Nowotwór rozwijający się w obrębie szczęki lub żuchwy może wpływać na strukturę kostną, prowadząc do nieoczekiwanego rozchwiania zębów, które wcześniej były stabilne. Podobnie, jeśli nosisz protezę zębową i nagle zauważasz, że przestała ona pasować, stała się niewygodna lub powoduje otarcia, może to być sygnał, że w jamie ustnej pojawiła się nowa zmiana, która zmienia anatomię. Te objawy, choć pozornie błahe, mogą wskazywać na poważny problem.

Gdzie najczęściej rozwija się nowotwór w jamie ustnej
Rak języka: dlaczego musisz kontrolować jego boczne krawędzie i spód?
Język jest niestety najczęstszą lokalizacją raka jamy ustnej. Szczególnie narażone są jego boczne powierzchnie oraz spód. To miejsca, które często są pomijane podczas codziennej higieny i samobadania. Zmiany na języku mogą objawiać się jako owrzodzenia, guzki, białe lub czerwone plamy. Regularne wysuwanie języka i oglądanie go ze wszystkich stron, a także dotykanie, jest kluczowe dla wczesnego wykrycia.
Rak dna jamy ustnej: ukryty wróg tuż pod językiem
Dno jamy ustnej, czyli obszar pod językiem, to kolejna częsta, ale często przeoczana lokalizacja nowotworu. Zmiany w tym miejscu mogą być trudne do zauważenia, ponieważ są ukryte. Mogą objawiać się jako zgrubienia, owrzodzenia lub zmiany w kolorze błony śluzowej. Właśnie dlatego podczas samobadania należy unieść język do góry i dokładnie obejrzeć oraz dotknąć dno jamy ustnej.
Rak dziąsła: czy to na pewno tylko stan zapalny?
Zmiany nowotworowe na dziąsłach często bywają mylone ze stanem zapalnym, paradontozą czy nawet zwykłym podrażnieniem. Mogą przybierać formę niegojących się owrzodzeń, zgrubień, obrzęków lub zmian w kolorze. Jeśli zauważysz, że dziąsło w jednym miejscu jest opuchnięte, krwawi bez powodu lub ma zmieniony kolor, a leczenie standardowymi metodami nie przynosi poprawy, koniecznie skonsultuj się ze stomatologiem lub periodontologiem. To może być coś więcej niż tylko stan zapalny.
Rak wargi i policzka: zmiany, które najłatwiej zauważyć
Wargi, zwłaszcza warga dolna, oraz błona śluzowa policzków to miejsca, gdzie zmiany nowotworowe są często widoczne i stosunkowo łatwe do zauważenia. Na wargach mogą pojawić się niegojące się ranki, owrzodzenia, strupy lub zgrubienia. Wewnątrz policzków mogą to być białe lub czerwone plamy, guzki. Regularne oglądanie i dotykanie tych obszarów podczas codziennej higieny jamy ustnej znacząco zwiększa szanse na wczesne wykrycie.
Główne czynniki ryzyka raka jamy ustnej w Polsce
Papierosy i alkohol: śmiertelny duet, który drastycznie zwiększa ryzyko
Niestety, muszę to jasno powiedzieć: palenie tytoniu i nadużywanie alkoholu to dwa najgroźniejsze czynniki ryzyka raka jamy ustnej. Substancje chemiczne zawarte w dymie tytoniowym i alkohol uszkadzają komórki błony śluzowej, prowadząc do mutacji. Co gorsza, ich połączenie działa synergistycznie, zwiększając ryzyko zachorowania nawet 30-krotnie! Jeśli palisz i pijesz, to jest to moment, aby poważnie zastanowić się nad zmianą tych nawyków. To najprostszy sposób na drastyczne zmniejszenie ryzyka.
Rola wirusa HPV: cichy winowajca nowotworów, o którym musisz wiedzieć
W ostatnich latach coraz więcej mówi się o roli zakażenia wirusem brodawczaka ludzkiego (HPV) w rozwoju raka jamy ustnej i gardła, zwłaszcza u osób młodszych, poniżej 30. roku życia, które niekoniecznie palą czy nadużywają alkoholu. HPV jest przenoszony drogą płciową, w tym także poprzez kontakty oralne. Istnieją szczepionki przeciwko HPV, które mogą znacząco zmniejszyć ryzyko zakażenia i w konsekwencji rozwoju nowotworów związanych z tym wirusem.
Przewlekłe drażnienie i zła higiena: jak codzienne nawyki mogą prowadzić do choroby?
Przewlekłe drażnienie błony śluzowej jamy ustnej, na przykład przez źle dopasowane protezy zębowe, ostre krawędzie zębów lub nieprawidłowo wykonane wypełnienia, może prowadzić do powstawania przewlekłych stanów zapalnych, które z czasem mogą zwiększać ryzyko transformacji nowotworowej. Podobnie, zła higiena jamy ustnej, prowadząca do przewlekłych infekcji i stanów zapalnych dziąseł, również jest czynnikiem ryzyka. Dbanie o prawidłową higienę i regularne wizyty u dentysty są tu kluczowe.Znaczenie diety i predyspozycji genetycznych
Dieta uboga w owoce i warzywa, a bogata w przetworzone produkty, może również zwiększać ryzyko rozwoju raka jamy ustnej. Antyoksydanty zawarte w świeżych warzywach i owocach odgrywają ważną rolę w ochronie komórek przed uszkodzeniami. Choć nie jest to tak silny czynnik jak palenie czy alkohol, zdrowa dieta wspiera ogólną odporność organizmu i może zmniejszać ryzyko wielu chorób, w tym nowotworowych. Predyspozycje genetyczne również mogą odgrywać pewną rolę, choć są mniej dominujące niż czynniki środowiskowe.
Podejrzewasz objawy? Oto co musisz zrobić
Samobadanie jamy ustnej: jak prawidłowo i regularnie je wykonywać?
Regularne samobadanie jamy ustnej to prosta, ale niezwykle skuteczna metoda wczesnego wykrywania niepokojących zmian. Zalecam wykonywanie go raz w miesiącu, najlepiej po umyciu zębów, przed lustrem, przy dobrym oświetleniu. Oto jak to zrobić:
- Obejrzyj wargi: Sprawdź wargi z zewnątrz i od wewnątrz, szukając owrzodzeń, guzków, zmian koloru czy pęknięć.
- Skontroluj policzki: Obejrzyj wewnętrzną stronę policzków, odciągając je palcami. Szukaj białych, czerwonych plam, zgrubień lub owrzodzeń.
- Zbadaj dziąsła: Przyjrzyj się dziąsłom zarówno tym przy zębach, jak i tym na podniebieniu. Zwróć uwagę na krwawienia, obrzęki, zmiany koloru.
- Sprawdź język: Wysuń język i obejrzyj go z góry, z boków i od spodu (unieś go do podniebienia). Szukaj guzków, owrzodzeń, białych lub czerwonych plam.
- Obejrzyj dno jamy ustnej: Unieś język i dokładnie obejrzyj dno jamy ustnej. Dotknij tego obszaru palcami, szukając zgrubień.
- Zbadaj podniebienie: Obejrzyj twarde i miękkie podniebienie.
- Palpacja szyi: Delikatnie dotknij szyi i okolic żuchwy, szukając powiększonych węzłów chłonnych.
Zmiana nie znika od 2 tygodni? To ostateczny sygnał, by działać
Chcę to bardzo mocno podkreślić: jeśli jakakolwiek niepokojąca zmiana w jamie ustnej czy to owrzodzenie, plama, guzek, czy utrzymujący się ból utrzymuje się powyżej 2 tygodni i nie wykazuje tendencji do gojenia, to jest to bezwzględny sygnał do natychmiastowej konsultacji lekarskiej. Nie czekaj, nie licz na to, że "samo przejdzie". Wczesne wykrycie jest kluczowe dla skutecznego leczenia, a każdy dzień zwłoki może mieć znaczenie.
Do kogo się udać po pomoc: stomatolog, laryngolog czy od razu onkolog?
W przypadku zauważenia niepokojących objawów, pierwszymi specjalistami, do których należy się udać, są stomatolog lub laryngolog. Obaj lekarze są w stanie ocenić zmiany w jamie ustnej i gardle, a w razie potrzeby skierować Cię na dalszą diagnostykę. Nie musisz od razu szukać onkologa to właśnie stomatolog lub laryngolog są często pierwszymi, którzy mogą postawić wstępne podejrzenie i zainicjować odpowiednią ścieżkę diagnostyczną.
Jak wygląda ścieżka diagnostyczna? Od wziernika po biopsję
Po zgłoszeniu się do lekarza, ścieżka diagnostyczna zazwyczaj wygląda następująco:
- Badanie fizykalne: Lekarz dokładnie obejrzy i dotknie jamę ustną, gardło oraz szyję, szukając wszelkich nieprawidłowości.
- Badania obrazowe: W zależności od podejrzeń, mogą zostać zlecone badania takie jak USG szyi, tomografia komputerowa (TK) lub rezonans magnetyczny (MRI) głowy i szyi. Pomagają one ocenić rozmiar zmiany i ewentualne rozprzestrzenianie się nowotworu.
- Biopsja: Ostateczne potwierdzenie diagnozy raka jamy ustnej następuje poprzez biopsję. Polega ona na pobraniu niewielkiego fragmentu zmienionej tkanki i poddaniu go badaniu histopatologicznemu pod mikroskopem. Tylko badanie histopatologiczne może jednoznacznie potwierdzić obecność komórek nowotworowych.
Przeczytaj również: Rak jamy ustnej: Rozpoznaj wygląd. Te objawy ratują życie!
Wczesne wykrycie to szansa na wyleczenie. Nie lekceważ profilaktyki
Dlaczego regularne wizyty u dentysty mogą uratować Ci życie?
Regularne wizyty u dentysty to nie tylko dbanie o zdrowe zęby. To także kluczowy element profilaktyki raka jamy ustnej. Stomatolog podczas rutynowego przeglądu jest w stanie zauważyć wczesne zmiany, takie jak leukoplakia, erytroplakia czy drobne owrzodzenia, które Ty mógłbyś przeoczyć. Wielokrotnie widziałem, jak dzięki czujności dentysty, nowotwór został wykryty we wczesnym stadium, co uratowało pacjentowi życie. Nie lekceważ tych wizyt to inwestycja w Twoje zdrowie.
W Polsce rocznie diagnozuje się ponad 4 tysiące przypadków raka jamy ustnej. Choroba dotyka częściej mężczyzn po 40. roku życia. Kluczowe jest wczesne wykrycie w początkowym stadium wyleczalność sięga 80-90%. Niestety, około 70% przypadków jest diagnozowanych w zaawansowanym stadium, co drastycznie pogarsza rokowania.
Jak aktywnie zmniejszyć swoje ryzyko? Proste zmiany o wielkim znaczeniu
Możesz aktywnie wpływać na zmniejszenie ryzyka zachorowania na raka jamy ustnej. Oto najważniejsze kroki, które możesz podjąć:
- Rzuć palenie: To najważniejsza rzecz, jaką możesz zrobić dla swojego zdrowia.
- Ogranicz spożycie alkoholu: Zmniejszenie ilości spożywanego alkoholu, a najlepiej całkowita rezygnacja, znacząco obniża ryzyko.
- Dbaj o higienę jamy ustnej: Regularne i dokładne szczotkowanie zębów, używanie nici dentystycznych oraz płukanek to podstawa.
- Regularne wizyty u dentysty: Przynajmniej raz w roku, a najlepiej co 6 miesięcy, udawaj się na kontrolne wizyty.
- Zdrowa dieta: Włącz do swojej diety dużo świeżych owoców i warzyw, bogatych w antyoksydanty.
- Unikaj przewlekłych drażnień: Upewnij się, że Twoje protezy są dobrze dopasowane, a zęby nie mają ostrych krawędzi.
- Zaszczep się przeciwko HPV: Jeśli kwalifikujesz się do szczepienia, rozważ je, aby zmniejszyć ryzyko zakażenia.




