Płukanie ust: błąd, który niszczy zęby? Ekspert wyjaśnia
Czy płuczesz usta po myciu zębów? Aleksander Baranowski wyjaśnia, dlaczego to błąd i jak nie wypłukiwać fluoru. Poznaj idealną rutynę higieniczną!
Czy płuczesz usta po myciu zębów? Aleksander Baranowski wyjaśnia, dlaczego to błąd i jak nie wypłukiwać fluoru. Poznaj idealną rutynę higieniczną!
Szukasz ulgi na rany w jamie ustnej? Odkryj domowe sposoby na afty, infekcje oraz skuteczne żele i płukanki z apteki. Sprawdź, kiedy iść do lekarza.
Rak płaskonabłonkowy jamy ustnej: objawy, które musisz znać. Naucz się rozpoznawać wczesne sygnały i zwiększ szanse na wyleczenie. Sprawdź, jak się badać!
Zastanawiasz się nad szczoteczką soniczną? Poznaj jej zalety, wady i porównaj z rotacyjną. Sprawdź, czy to opłacalna inwestycja w Twój uśmiech!
Poznaj wczesne objawy nowotworu jamy ustnej i dowiedz się, jak rozpoznać niepokojące zmiany. Sprawdź, kiedy reagować i gdzie szukać pomocy.
Rak jamy ustnej: Naucz się rozpoznawać wczesne objawy. Odróżnij niepokojące zmiany od aft i dowiedz się, co robić, by ratować zdrowie. Sprawdź!
Jak wybrać szczoteczkę soniczną dla dziecka? Poznaj kluczowe cechy, wiek, bezpieczeństwo i polecane modele. Znajdź idealną dla zdrowego uśmiechu!
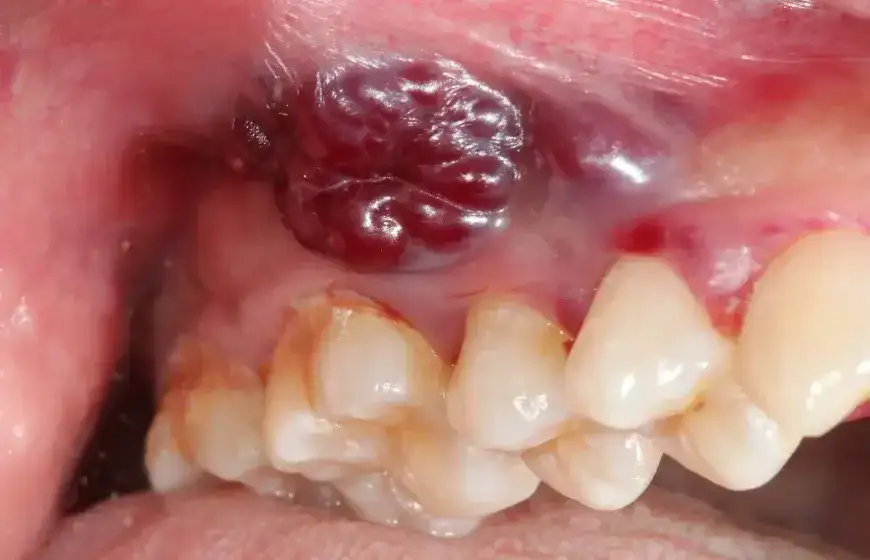
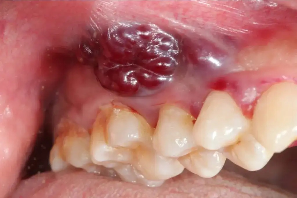
Rozpoznaj wczesne objawy raka jamy ustnej na zdjęciach: leukoplakia, owrzodzenia, guzki. Poznaj czynniki ryzyka i sprawdź, jak postępować. Działaj szybko!
Wybierz idealną szczoteczkę soniczną! Poznaj kluczowe parametry, tryby pracy, funkcje smart i ranking modeli dla każdego budżetu. Uniknij błędów.
Oral-B iO czy Philips Sonicare? Porównaj technologie, funkcje i koszty. Poznaj wady i zalety obu szczoteczek i wybierz idealną dla siebie!
Szczoteczka soniczna co to jest i jak działa? Poznaj technologię fal dźwiękowych, porównaj z rotacyjną i sprawdź, dlaczego dentyści ją polecają. Odkryj zalety!
Zapalenie jamy ustnej u dziecka? Poznaj skuteczne domowe sposoby i leki bez recepty. Sprawdź, kiedy iść do lekarza i jak ulżyć maluchowi w bólu.
Dowiedz się, gdzie dokładnie znajduje się błona śluzowa jamy ustnej, jakie pełni funkcje i jak o nią dbać. Poznaj jej rodzaje i sygnały alarmowe.
Wybór szczoteczki sonicznej czy rotacyjnej? Porównaj skuteczność, delikatność i funkcje. Sprawdź, która jest idealna dla Twoich dziąseł, aparatu ortodontycznego czy wybielania zębów.